PRZED
PO
PRZED
PO

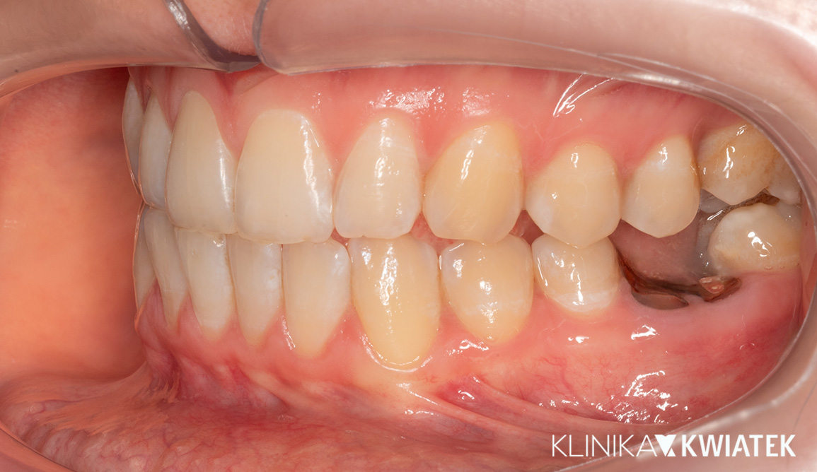
Naturalny efekt i perfekcyjna funkcja – Ząb 46 jak nowy dzięki nowoczesnej technologii

Pacjentka zgłosiła się z problemem zniszczonego zęba 46, wymagającego odbudowy protetycznej. Po szczegółowej diagnostyce i przygotowaniu tkanek wykonano rekonstrukcję w technologii adhezyjnej z użyciem nowoczesnego overlaya kompozytowego. Efekt – pełna funkcja żucia, doskonała szczelność i naturalna estetyka.

PRZED
PO
PRZED
PO

Kliniczna precyzja i estetyka – jak przywróciliśmy funkcję i piękno uśmiechu

Pacjentka zgłosiła się z wadą zgryzu, licznymi ubytkami i utraconymi zębami trzonowymi, co powodowało trudności w żuciu i estetyczne niezadowolenie. Leczenie obejmowało ekstrakcje, ortodoncję, implantację oraz kompleksową rekonstrukcję protetyczną. Po kilkunastu miesiącach terapii Pacjentka odzyskała pełną funkcję zgryzu i piękny, harmonijny uśmiech.

PRZED
PO
PRZED
PO

Metamorfoza Pani Justyny – implanty, estetyka i pewność siebie. Spełnione marzenie o zdrowym uśmiechu.

Pani Justyna zgłosiła się do naszej kliniki z problemem braków zębowych oraz koniecznością usunięcia kilku zębów w złym stanie. Dzięki szczegółowej diagnostyce i rozbudowanemu planowi leczenia przeprowadziliśmy serię zabiegów chirurgicznych i implantoprotetycznych, które zakończyły się pełną odbudową uśmiechu. Efektem jest piękny, estetyczny i przede wszystkim funkcjonalny uśmiech, który przywrócił Pacjentce komfort życia.

PRZED
PO
PRZED
PO

Podwójne zwycięstwo – zdrowie, radość i piękny, naturalny uśmiech. Wyjątkowa historia spełnionej Pacjentki!

Pani Mirosława, nasza Pacjentka – pełna pogody ducha i wewnętrznego spokoju – trafiła do kliniki z potrzebą przywrócenia zdrowia jamy ustnej oraz estetyki uśmiechu. Po przeszczepie nerki w 2014 roku cieszy się odzyskanym zdrowiem, a kolejnym naturalnym etapem była metamorfoza stomatologiczna. Powierzając nam pełną rekonstrukcję swojego uśmiechu, zaufała kompleksowemu leczeniu obejmującemu nowoczesną endodoncję oraz zaawansowaną protetykę. Dzięki temu wieloetapowemu procesowi udało się osiągnąć spektakularny rezultat – piękny, harmonijny uśmiech, który zachwyca naturalnością, funkcjonalnością i idealnie podkreśla piękno i osobowość Pacjentki.

PRZED
PO
PRZED
PO

Implant zamiast kompromisu – pełna funkcja i estetyka przedniego zęba

Do naszej kliniki zgłosiła się Pacjentka z problemem pękniętego zęba siecznego górnego (21), który był wcześniej leczony endodontycznie. Po diagnostyce i ekstrakcji wykonano tymczasowy most adhezyjny, a następnie wszczepiono implant MIS C1 z augmentacją i przeszczepem dziąsła. Po okresie gojenia osadzono koronę ceramiczną pełnokonturową o idealnym kolorze i kształcie. Efekt – całkowicie naturalny uśmiech i pełen komfort żucia.

PRZED
PO
PRZED
PO

Rekonstrukcja funkcji żucia i estetyki – implant w pozycji zęba 36

Kategoria: Implanty, Korony i mosty

Pacjentka zgłosiła się z problemem utraty zęba 36, który wymagał ekstrakcji z powodu nieodwracalnych zmian zapalnych. Po precyzyjnej diagnostyce i przygotowaniu chirurgicznym wykonano implantację z wykorzystaniem systemu MIS C1 oraz pełnokomputerowej nawigacji. Po okresie gojenia osadzono koronę pełnoceramiczną, przywracając pełną funkcję żucia i naturalną estetykę uśmiechu.

PRZED
PO
PRZED
PO

Nowy uśmiech rodzi się krok po kroku – implant w strefie uśmiechu jako pierwszy etap metamorfozy.

Pacjentka zgłosiła się do kliniki z potrzebą odbudowy zęba w strefie estetycznej (24), co znacząco wpływało na wygląd uśmiechu. Po wykonaniu pełnej diagnostyki i zaplanowaniu kompleksowego leczenia rozpoczęliśmy od implantacji zęba 24 – jako pierwszego kroku w kierunku pełnej rekonstrukcji uśmiechu. Efekt? Naturalny wygląd i komfort już po pierwszym etapie, a całość planu będzie realizowana sukcesywnie, zgodnie z możliwościami Pacjentki.

PRZED
PO
PRZED
PO

Brak dwójki? Pełny uśmiech w jednym planie: implant + mikroendo+ceramika=duet 12–22 w idealnej równowadze

22-letnia Pacjentka zgłosiła się z wrodzonym brakiem zawiązka zęba 12 oraz powikłaniami endodontycznymi w obrębie zęba 22. W wywiadzie — wieloletnie leczenie ortodontyczne zakończone nawrotem stłoczeń w odcinku przednim. Zaplanowano kompleksową terapię obejmującą fazę higienizacyjną, leczenie mikroendodontyczne zęba 22 z późniejszą resekcją wierzchołka, a także nawigowaną implantację zęba 12 z natychmiastowym obciążeniem koroną tymczasową i wykonaniem odbudów ostatecznych. Uzyskano pełną symetrię linii uśmiechu oraz stabilną funkcję siekaczy bocznych, co potwierdzono w kontrolnych badaniach radiologicznych.

 

PRZED
PO
PRZED
PO

Od ekstrakcji do perfekcyjnej odbudowy – nowoczesna implantoprotetyka w praktyce

Pacjent zgłosił się z przewlekłym stanem zapalnym i bólem zęba 26, którego nie dało się już uratować leczeniem zachowawczym. Po dokładnej diagnostyce wykonano atraumatyczną ekstrakcję z zastosowaniem materiału PRF i biomateriału kościozastępczego, połączoną z podniesieniem dna zatoki szczękowej. Następnie, po okresie gojenia, wszczepiono implant MIS C1. Zwieńczeniem leczenia była precyzyjnie dopasowana korona ceramiczna, przywracająca pełną funkcję i estetykę uśmiechu.

Warto podkreślić, że decyzja o ekstrakcji nie jest dziś końcem leczenia, lecz początkiem nowoczesnej odbudowy. W naszej klinice wykorzystujemy zaawansowane techniki implantologiczne i regeneracyjne, które na co dzień pozwalają skutecznie zastąpić utracony ząb – trwale, bez bólu i z naturalnym efektem estetycznym.

PRZED
PO

Od próchnicy do perfekcji- nowa jakość uśmiechu dzięki mikroskopowej odbudowie kompozytowej

Pacjent zgłosił się z problemem zaawansowanej próchnicy wtórnej w zębach bocznych 14, 15 i 16. Po dokładnej diagnostyce wykonano znieczulenie miejscowe, izolację pola zabiegowego koferdamem i mikroskopowe wypełnienia nanokompozytowe, które pozwoliły na pełną odbudowę utraconych tkanek. Efektem leczenia jest trwała, estetyczna rekonstrukcja zębów oraz całkowite wyeliminowanie dolegliwości bólowych.

Do you have questions?
Would you like to schedule an appointment?
Call us