PRZED
PO
PRZED
PO

Uśmiech bez kompromisów - kompleksowe leczenie w standardzie premium

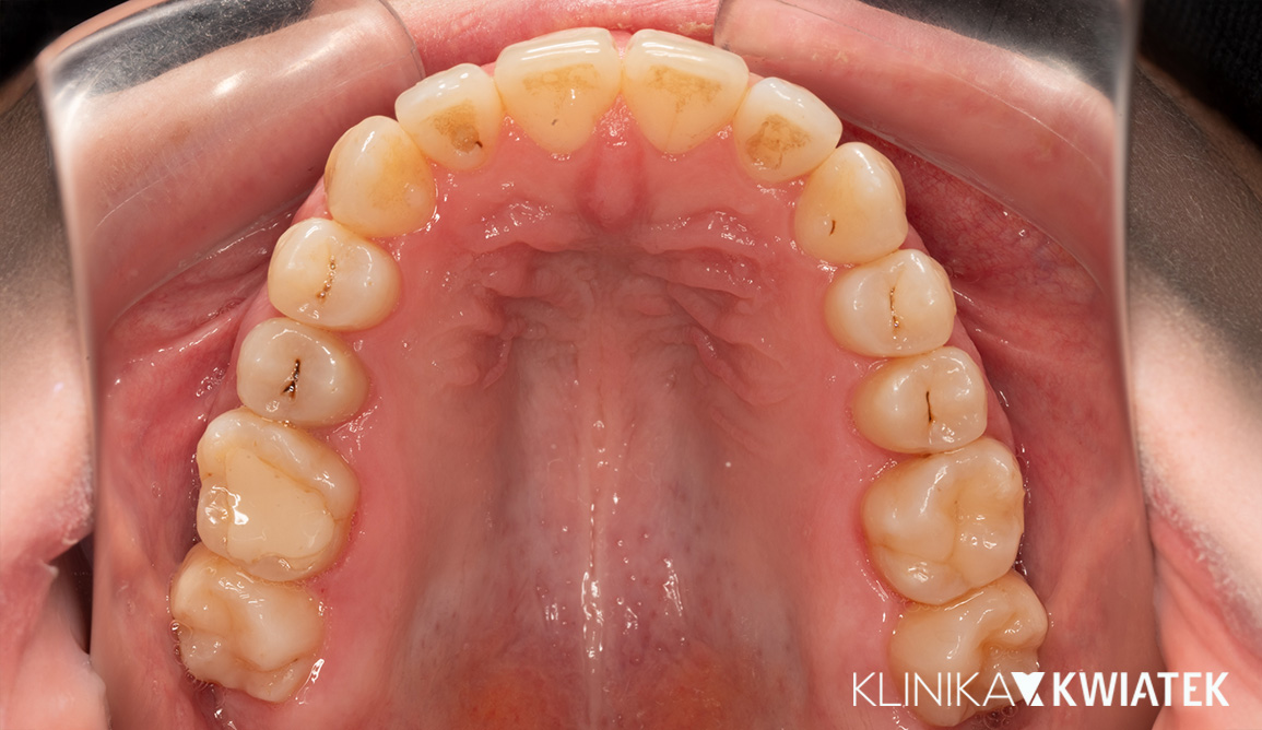
Pacjentka zgłosiła się do kliniki z nawracającymi stanami zapalnymi dziąseł, zaawansowanym zanikiem kości oraz brakami zębowymi. Po kompleksowej diagnostyce wdrożono wieloetapowe leczenie obejmujące zabiegi periodontologiczne, implantologiczne, ortodontyczne i protetyczne. Efektem terapii jest stabilny zgryz, zdrowe przyzębie oraz estetyczna, trwała odbudowa uśmiechu.

PRZED
PO

Mistrzowska rekonstrukcja - precyzja, estetyka i trwałość nowoczesnych wypełnień

Pacjentka zgłosiła się do kliniki z problemem starych, nieszczelnych wypełnień w bocznym odcinku uzębienia, w tym jednego wypełnienia amalgamatowego, oraz osłabieniem struktur twardych zębów. Stan ten sprzyjał rozwojowi próchnicy oraz stopniowemu zaburzeniu prawidłowej funkcji żucia. Przeprowadzona kompleksowa diagnostyka pozwoliła na precyzyjne zaplanowanie indywidualnej terapii, ukierunkowanej na zachowanie zdrowych tkanek i maksymalne wzmocnienie osłabionych struktur. Dzięki zastosowaniu nowoczesnych materiałów klasy premium oraz pracy w powiększeniu możliwe było wykonanie mistrzowskiej rekonstrukcji, łączącej najwyższą estetykę z długoterminową trwałością. Efektem leczenia stała się pełna harmonia funkcji, komfortu i naturalnego wyglądu uzębienia.

 

PRZED
PO
PRZED
PO

Subtelna metamorfoza uśmiechu - precyzja, estetyka, harmonia

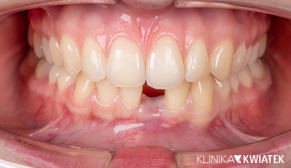
Pacjentka zgłosiła się do kliniki z powodu zużytych, nieszczelnych licówek oraz narastającej nadwrażliwości zębów przednich. Po szczegółowej diagnostyce wdrożono indywidualny, kompleksowy plan leczenia obejmujący leczenie zachowawcze, chirurgiczne, endodontyczne i protetyczne. Efektem była pełna metamorfoza estetyczna oraz stworzenie eleganckiego, naturalnego i trwałego uśmiechu.

PRZED
PO
PRZED
PO

Standard doskonałości - zaawansowana odbudowa w strefie estetycznej

Metamorfoza, którą przedstawiamy, jest doskonałym przykładem połączenia doświadczenia zespołu, nowoczesnych technologii oraz indywidualnego podejścia do potrzeb Pacjentki. Przypadek dotyczył odbudowy zęba w najbardziej wymagającej strefie estetycznej, gdzie każdy detal ma znaczenie - od zdrowia tkanek, przez precyzję leczenia, aż po finalny efekt wizualny. Dzięki starannie zaplanowanemu, wieloetapowemu procesowi terapeutycznemu możliwe było nie tylko przywrócenie pełnej funkcji jamy ustnej, ale również odtworzenie naturalnej harmonii uśmiechu. Efektem leczenia jest trwała, estetyczna rekonstrukcja oparta na implancie, która spełnia najwyższe standardy współczesnej stomatologii.

PRZED
PO
PRZED
PO

Precyzyjna implantologia w strefie estetycznej - metamorfoza górnych siekaczy

Pacjentka zgłosiła się do kliniki z powodu starych, nieszczelnych i ruchomych odbudów kompozytowych na górnych jedynkach, które powodowały znaczny dyskomfort estetyczny. Szczegółowa diagnostyka wykazała niestabilność wkładów koronowo-korzeniowych oraz nieodwracalną destrukcję tkanek twardych, kwalifikującą zęby 11 i 21 do ekstrakcji. Dzięki indywidualnie opracowanemu planowi leczenia możliwe było przeprowadzenie kompleksowej odbudowy implantologiczno-protetycznej, przywracającej naturalny wygląd, prawidłową funkcję oraz pełen komfort uśmiechu.

PRZED
PO
PRZED
PO

Historia zaufania i precyzji - nowoczesna protetyka w wymagającym przypadku klinicznym

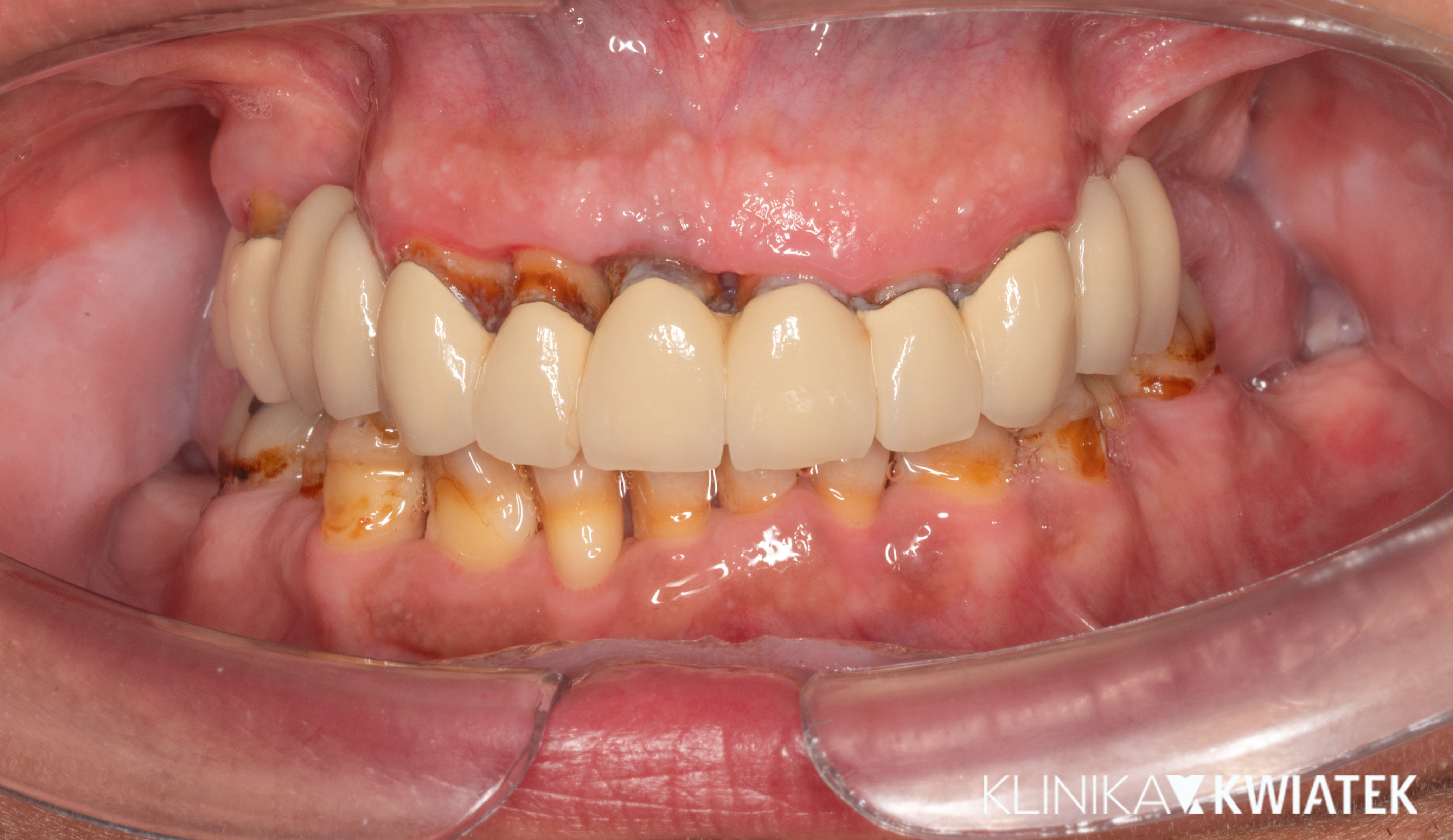
Pacjentka zgłosiła się z wieloletnimi problemami stomatologicznymi, wadą zgryzu, resorpcją korzeni po wcześniejszych leczeniach ortodontycznych oraz licznymi ubytkami i stanami zapalnymi. Proces leczenia obejmował etapową sanację jamy ustnej, leczenie chirurgiczne, protetyczne i estetyczne, poprzedzone szczegółową diagnostyką i planowaniem cyfrowym. Efektem jest stabilny funkcjonalnie, zdrowy oraz naturalnie estetyczny uśmiech, dopasowany do indywidualnych warunków Pacjentki.

PRZED
PO
PRZED
PO

Interdyscyplinarna metamorfoza uśmiechu - precyzja implantologii i protetyki

Uśmiech naszej Pacjentki od dawna wymagał kompleksowej odbudowy zarówno pod względem zdrowotnym, jak i estetycznym. Braki zębowe, zanik kości oraz nieprawidłowe proporcje w odcinku przednim wpływały na funkcję żucia, codzienne samopoczucie oraz swobodę w relacjach i wizerunku. Dzięki precyzyjnie zaplanowanemu, wieloetapowemu leczeniu łączącemu implantologię, chirurgię, protetykę i stomatologię estetyczną możliwe było osiągnięcie trwałego, naturalnego i harmonijnego efektu.

PRZED
PO
PRZED
PO

Kompleksowa ortodoncja dorosłego Pacjenta - od diagnostyki do retencji

Pacjent zgłosił się z powodu niezadowolenia z ustawienia górnych siekaczy oraz nawrotu wady zgryzu po wcześniejszym leczeniu ortodontycznym w wieku dziecięcym. Szczegółowa diagnostyka wykazała złożoną wadę zgryzu II klasy, asymetrię linii pośrodkowej oraz stłoczenia zębów w obu łukach. Dzięki indywidualnie zaplanowanemu, kompleksowemu leczeniu ortodontycznemu uzyskano prawidłowe relacje zgryzowe, harmonijną linię uśmiechu oraz stabilny, estetyczny i funkcjonalny efekt końcowy.

PRZED
PO
PRZED
PO

Nowy uśmiech. Nowy rozdział - od planu do perfekcji.

Pacjentka zgłosiła się do naszej kliniki w momencie, gdy uśmiech przestał być źródłem radości, a stał się codziennym ograniczeniem. Liczne braki zębowe, zaawansowana choroba przyzębia oraz zaburzona funkcja żucia wymagały kompleksowego i precyzyjnie zaplanowanego leczenia. Dzięki diagnostyce 3D, nowoczesnej implantologii, regeneracji tkanek i pełnej odbudowie protetycznej udało się nie tylko przywrócić estetykę uśmiechu, ale przede wszystkim komfort, pewność siebie i naturalną swobodę życia.

PRZED
PO
PRZED
PO

Precyzyjna ortodoncja. Harmonijny uśmiech.

Pacjent zgłosił się z problemem stłoczeń w obu łukach zębowych oraz pogłębionym nagryzem pionowym, mimo prawidłowej relacji szkieletowej. Po szczegółowej diagnostyce wdrożono leczenie aparatem stałym samoligaturującym, prowadzone etapowo i z dużą dbałością o biomechanikę. Efektem jest prawidłowo ustawiony zgryz, poprawa estetyki uśmiechu oraz stabilny wynik zabezpieczony retencją.

Do you have questions?
Would you like to schedule an appointment?
Call us