Wybrane metamorfozy

Powrót komfortu żucia dzięki precyzyjnej odbudowie implantologicznej szóstek dolnych
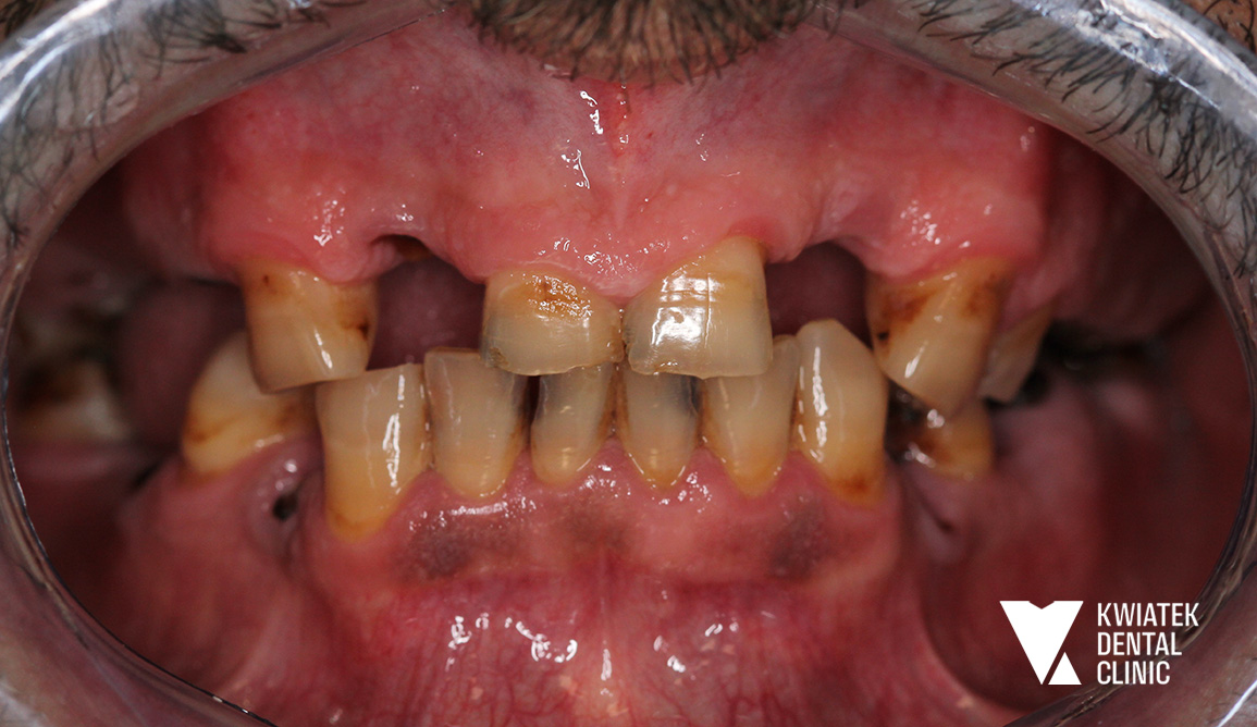
Luksusowa rehabilitacja uśmiechu w standardzie Kwiatek Dental Clinic
Projekt: komfort na lata czyli uśmiech gotowy na kolejne dekady
Precyzja, czas i plan - pełnołukowa metamorfoza funkcji i estetyki

Current reasearch being conducted

Comparison of treatment results using standard implantation, implantation with a healing screw, PMMA temporary crown, composite temporary crown.
Periimplantitis - treatment according to KK standard - use of Airflow Prophylaxis Master, PRF membrane, change of connector to zirconia
Comparative study of the application of full arch reconstruction technique using 4 and 6 implants and permanent restoration - 1,2,3,4,5 year observations

This is what our Patients say about us

Do you have questions?
Would you like to schedule an appointment?
Call us