Wypełnienia nanokompozytowe powstają przy użyciu zaawansowanych materiałów, które zapewniają wyjątkową trwałość, naturalny wygląd i wysoką estetykę odbudowy zęba. Dzięki pracy w powiększeniu (mikroskop, lupy) oraz zastosowaniu koferdamu możliwe jest wykonanie precyzyjnego wypełnienia, gwarantującego komfort leczenia i długotrwały efekt. To rozwiązanie, które pozwala skutecznie odtworzyć funkcję i wygląd zębów.


PRZED
PO
PRZED
PO

Kilka specjalizacji, jeden cel. Perfekcyjnie zaplanowana metamorfoza uśmiechu

Pan Jakub zgłosił się do kliniki z wadą zgryzu oraz licznymi problemami wynikającymi z nieprawidłowego ustawienia zębów. Leczenie wymagało współpracy specjalistów z kilku dziedzin stomatologii, precyzyjnego planowania oraz konsekwentnej realizacji kolejnych etapów terapii.

Dzięki ogromnej determinacji Pacjenta, który pomimo dużej odległości regularnie przyjeżdżał na zaplanowane wizyty, możliwe było przeprowadzenie kompleksowego leczenia, którego efektem jest doskonale zbalansowany zgryz oraz spektakularna i w pełni naturalna metamorfoza uśmiechu.

Nowość!
PRZED
PO

Nowa siła małych zębów dzięki koronom stalowym w praktyce

U 8-letniego Pacjenta rozpoznano zaawansowaną próchnicę w zębach mlecznych, obejmującą głębokie struktury i rozległe obszary. Zastosowano leczenie zachowawcze i endodontyczne oraz odbudowę przy użyciu koron stalowych. Efektem jest trwałe zabezpieczenie zębów, przywrócenie funkcji żucia i ochrona miejsca dla zębów stałych.

PRZED
PO

Precyzja i delikatność w leczeniu dziecięcego zęba

U młodych Pacjentów nawet niewielkie zmiany próchnicowe mogą w krótkim czasie prowadzić do poważnego uszkodzenia tkanek zęba. Dlatego w stomatologii dziecięcej kluczowe znaczenie ma wczesna diagnostyka oraz zastosowanie nowoczesnych, precyzyjnych metod leczenia, które pozwalają zatrzymać proces chorobowy i jednocześnie zachować jak największą ilość zdrowych tkanek.

Do kliniki zgłosiła się 10 letnia Pacjentka z głęboką próchnicą zęba trzonowego 36 obejmującą powierzchnię żującą oraz policzkową. Leczenie wymagało starannego, selektywnego opracowania ubytku oraz odbudowy korony zęba przy użyciu nowoczesnych materiałów kompozytowych.

Dzięki zastosowaniu pracy w powiększeniu oraz techniki stempla okluzyjnego możliwe było bardzo dokładne odtworzenie naturalnej anatomii zęba, a tym samym przywrócenie jego prawidłowej funkcji i estetyki.

PRZED
PO
PRZED
PO

Od diagnostyki do estetyki - kompleksowa terapia stomatologiczna

Pacjentka zgłosiła się na pierwszą konsultację stomatologiczną z licznymi wypełnieniami wymagającymi wymiany oraz ogniskami próchnicy. Leczenie rozpoczęto od kompleksowej diagnostyki i higienizacji, następnie przeprowadzono leczenie zachowawcze, odbudowę protetyczną zęba oraz zabiegi chirurgiczne, przygotowujące do dalszej terapii. Całość została zwieńczona leczeniem ortodontycznym aparatem nakładkowym oraz wybielaniem zębów, dzięki czemu uzyskano zdrowy, harmonijny i naturalnie estetyczny uśmiech.

PRZED
PO
PRZED
PO

Profilaktyka w praktyce - dlaczego wizyta kontrolna ma kluczowe znaczenie?

Czy wiesz, że próchnica w mleczaku może zagrozić zębowi stałemu?

U 9-letniej Pacjentki podczas rutynowej kontroli wykryliśmy głęboką próchnicę w mlecznej piątce. Ząb sąsiadował ze stałą szóstką. W trakcie leczenia okazało się, że proces próchnicowy zaczął obejmować również ząb stały. Na szczęście szybka reakcja pozwoliła zabezpieczyć oba zęby.

 Wniosek?
Wizyty kontrolne co 6 miesięcy to nie formalność. To realna ochrona zębów stałych Twojego dziecka.

PRZED
PO

Każdy mleczak ma znaczenie - inwestycja w przyszłe zęby

8-letni Pacjent zgłosił się do naszej kliniki z ubytkami próchnicowymi oraz nieszczelnymi wypełnieniami w zębach mlecznych. Leczenie wymagało dokładnej diagnostyki, etapowego planu oraz zastosowania nowoczesnych materiałów i skutecznego znieczulenia. Dzięki kompleksowemu podejściu udało się uratować kluczowe zęby, przywrócić ich funkcję i estetykę oraz zadbać o prawidłowy rozwój przyszłego uzębienia.

PRZED
PO

Mały Bohater, Wielki Uśmiech - Kolorowa Metamorfoza Małego Pacjenta

Prawie 10-letni Pacjent zgłosił się do naszej kliniki z głęboką, niewidoczną gołym okiem próchnicą w zębie mlecznym, wymagającą precyzyjnego leczenia. Dzięki doskonałej współpracy, wzajemnemu zaufaniu oraz empatycznemu i spokojnemu podejściu lekarza, cały zabieg przebiegł bez stresu i w przyjaznej atmosferze. Efektem jest zdrowy ząb, kolorowe wypełnienie spełniające marzenie Małego Pacjenta, piękny uśmiech oraz ogromna duma Małego Bohatera.

PRZED
PO

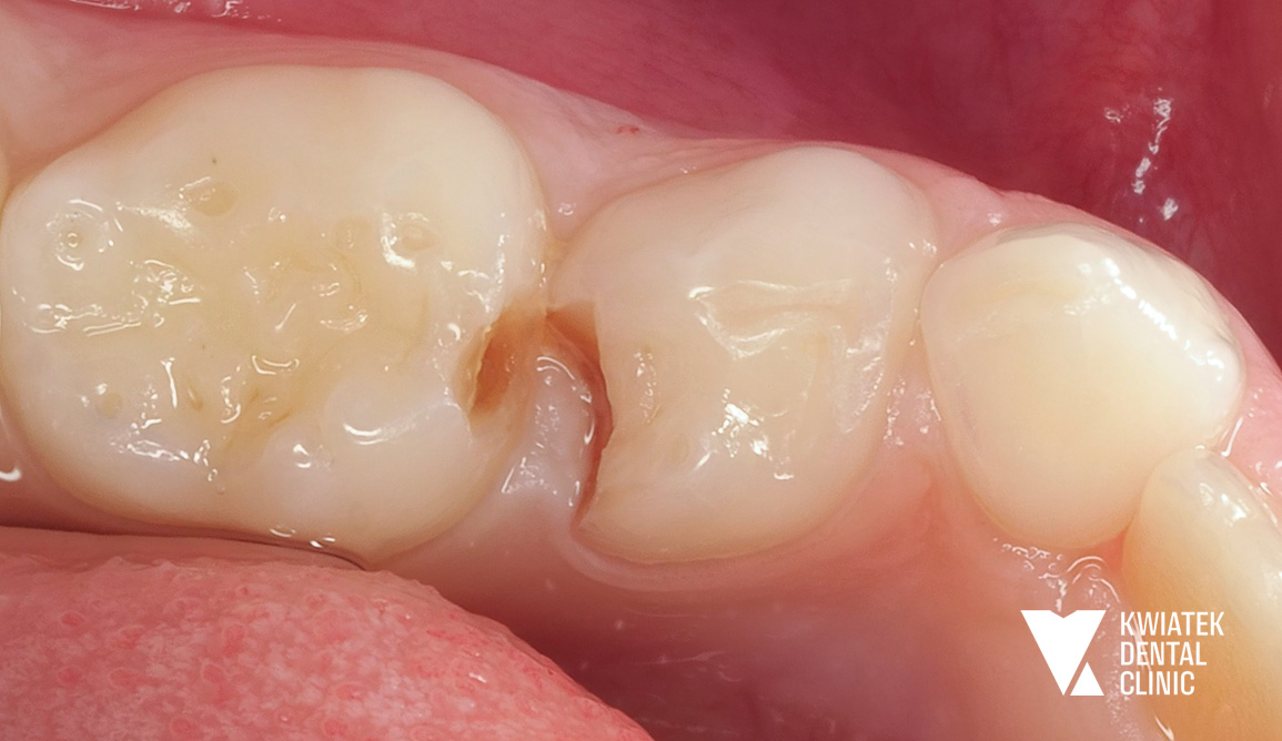
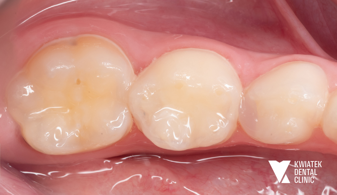
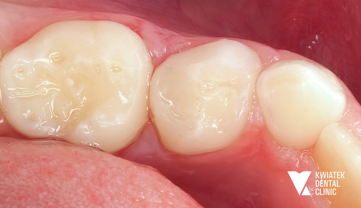
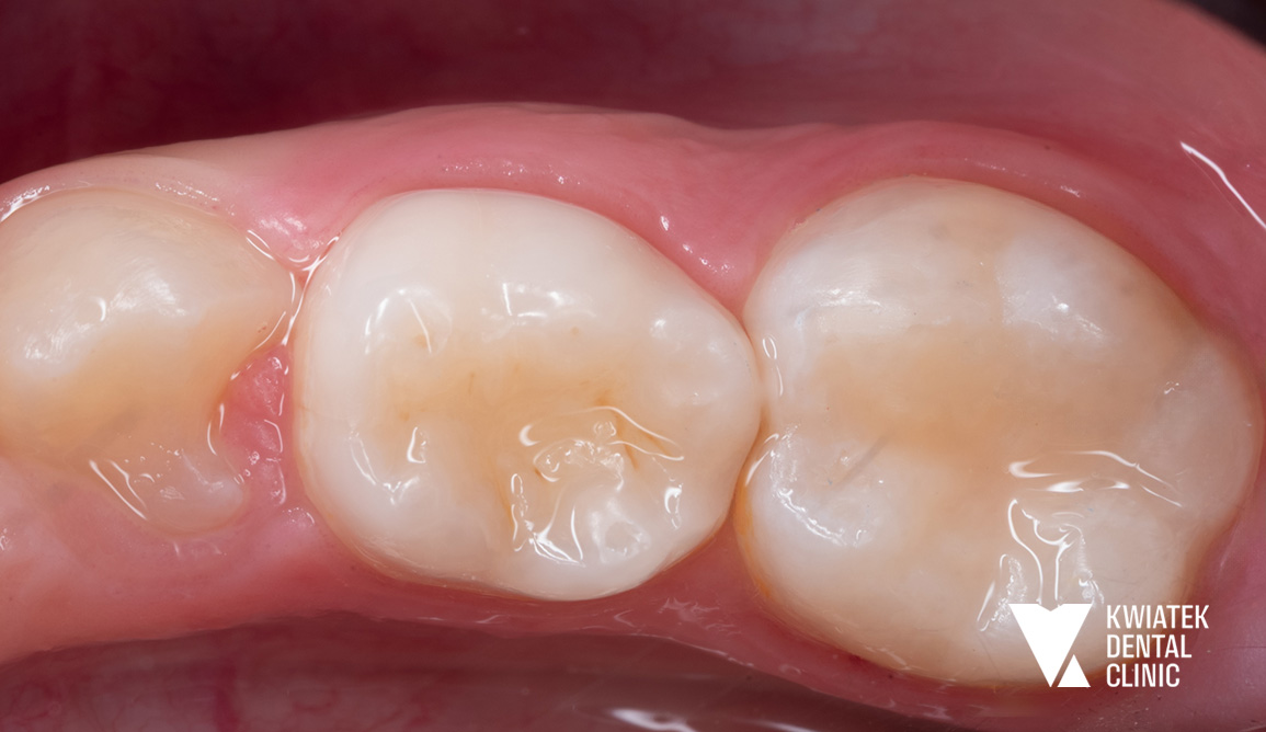
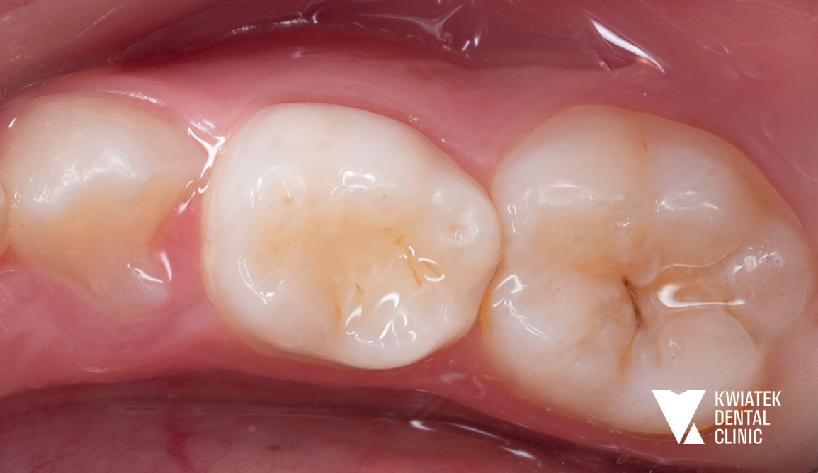
Mistrzowska rekonstrukcja - precyzja, estetyka i trwałość nowoczesnych wypełnień

Pacjentka zgłosiła się do kliniki z problemem starych, nieszczelnych wypełnień w bocznym odcinku uzębienia, w tym jednego wypełnienia amalgamatowego, oraz osłabieniem struktur twardych zębów. Stan ten sprzyjał rozwojowi próchnicy oraz stopniowemu zaburzeniu prawidłowej funkcji żucia. Przeprowadzona kompleksowa diagnostyka pozwoliła na precyzyjne zaplanowanie indywidualnej terapii, ukierunkowanej na zachowanie zdrowych tkanek i maksymalne wzmocnienie osłabionych struktur. Dzięki zastosowaniu nowoczesnych materiałów klasy premium oraz pracy w powiększeniu możliwe było wykonanie mistrzowskiej rekonstrukcji, łączącej najwyższą estetykę z długoterminową trwałością. Efektem leczenia stała się pełna harmonia funkcji, komfortu i naturalnego wyglądu uzębienia.

 

PRZED
PO
PRZED
PO

Interdyscyplinarna metamorfoza uśmiechu - precyzja implantologii i protetyki

Uśmiech naszej Pacjentki od dawna wymagał kompleksowej odbudowy zarówno pod względem zdrowotnym, jak i estetycznym. Braki zębowe, zanik kości oraz nieprawidłowe proporcje w odcinku przednim wpływały na funkcję żucia, codzienne samopoczucie oraz swobodę w relacjach i wizerunku. Dzięki precyzyjnie zaplanowanemu, wieloetapowemu leczeniu łączącemu implantologię, chirurgię, protetykę i stomatologię estetyczną możliwe było osiągnięcie trwałego, naturalnego i harmonijnego efektu.

PRZED
PO
PRZED
PO

Najpierw zdrowie. Potem ortodoncja - stabilne warunki jamy ustnej jako fundament metamorfozy

Pacjent przez kilka lat pozostawał pod opieką kliniki, realizując etapowe leczenie zachowawcze i profilaktyczne, którego celem było pełne ustabilizowanie stanu jamy ustnej. Po zakończeniu leczenia próchnicy, ekstrakcjach zębów mądrości oraz zabiegach profilaktycznych – świadomie i w odpowiednim momencie – podjął decyzję o leczeniu ortodontycznym. Efektem kompleksowej terapii jest uśmiech będący zwieńczeniem lat świadomych decyzji, precyzyjnego planowania i konsekwentnego leczenia.

Do you have questions?
Would you like to schedule an appointment?
Call us