Pełna metamorfoza uśmiechu u Pacjenta, który dotąd korzystał z częściowej protezy. W łuku górnym wykonano odbudowę All-on-6, a dolny łuk zrekonstruowano za pomocą mostów na implantach i koron pełnoceramicznych. Efekt? Naturalny, stabilny uśmiech, który przywrócił pewność siebie i komfort na co dzień.
Nasza Pacjentka, Pani Małgorzata, przez lata użytkowała protezę szkieletową górną, która nie zapewniała jej oczekiwanego komfortu ani estetyki. Leczenie zaplanowaliśmy w dwóch etapach – najpierw pełna odbudowa dolnego łuku na implantach, a następnie kompleksowa rekonstrukcja szczęki w systemie all-on-6. Dzięki temu Pacjentka mogła pożegnać się z protezą ruchomą i cieszyć się stabilnym, estetycznym oraz w pełni funkcjonalnym uśmiechem.
Tam, gdzie inni widzą ograniczenia, my widzimy możliwości. Dzięki precyzyjnej diagnostyce, doświadczeniu zespołu i nowoczesnym rozwiązaniom implantoprotetycznym nawet najbardziej złożony przypadek może zakończyć się trwałym, estetycznym i w pełni przewidywalnym sukcesem.
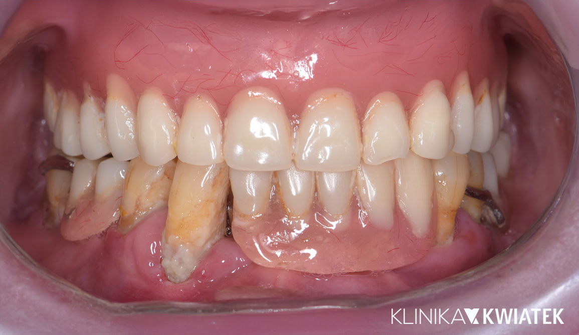
Pacjentka zgłosiła się do kliniki w momencie, gdy wieloletnie uzupełnienia protetyczne utraciły swoją funkcję, a przewlekłe zmiany okołowierzchołkowe i ból zaczęły istotnie wpływać na komfort życia. Szczegółowa diagnostyka stała się punktem wyjścia do zaplanowania kompleksowego, wieloetapowego leczenia obejmującego terapię endodontyczną, chirurgiczną oraz implantologiczną, którego celem była pełna rehabilitacja jamy ustnej.
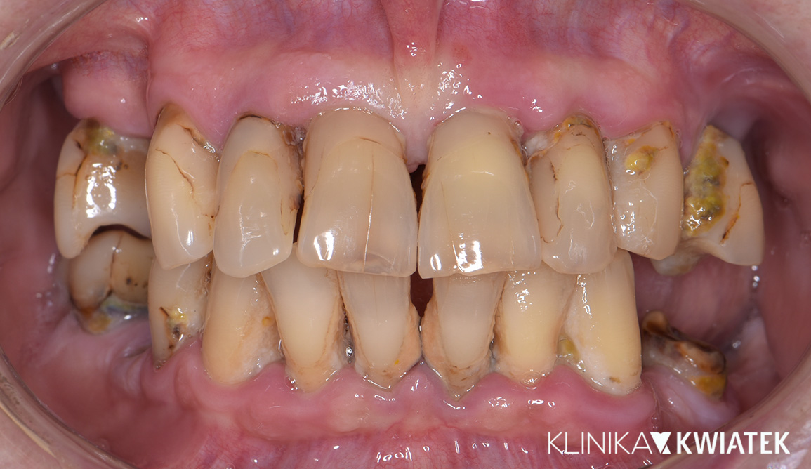
Pacjent zgłosił się z zaawansowanymi problemami stomatologicznymi, które znacząco wpływały na codzienne funkcjonowanie i estetykę uśmiechu - ruchomością zębów, rozległymi brakami zębowymi oraz wyraźnym zanikiem kości. Sytuacja ta wykluczała możliwość zastosowania standardowych rozwiązań protetycznych i wymagała kompleksowego, wieloetapowego podejścia. Dzięki połączeniu nowoczesnej implantologii, zaawansowanej regeneracji tkanek oraz precyzyjnego leczenia ortodontycznego udało się całkowicie odbudować funkcję, stabilność i harmonię uśmiechu, tworząc uśmiech, który wygląda naturalnie, działa bez ograniczeń i pozostaje stabilny przez lata.
Pacjentka zgłosiła się z zaawansowaną chorobą przyzębia i znacznym zanikiem kości, co prowadziło do utraty wielu zębów. Po dokładnej diagnostyce wdrożono etapowe leczenie chirurgiczno-implantoprotetyczne z wykorzystaniem systemu MIS C1 oraz protezy szkieletowej. Efektem jest pełna odbudowa estetyki i funkcji żucia — komfort, stabilność i piękny, naturalny uśmiech.
Pacjentka zgłosiła się do naszej kliniki z resztkowym uzębieniem własnym i trudnościami w użytkowaniu dotychczasowych protez, które były nieszczelne i niestabilne. Po dokładnej diagnostyce zaplanowaliśmy kompleksowe leczenie implantologiczne: wszczepienie implantów w szczęce i żuchwie, odbudowę mostem typu All-on-X w szczęce oraz protezą overdenture na belce w żuchwie. Dzięki precyzyjnej pracy naszego zespołu i nowoczesnym technologiom Pacjentka odzyskała piękny, naturalny uśmiech oraz pełen komfort jedzenia i mówienia każdego dnia.
Pan Krzysztof marzył o uśmiechu, który da mu pewność siebie i komfort życia – bez protez, bez kompromisów. Zakwalifikowano go do pełnołukowej odbudowy uśmiechu na implantach (All-on-6 / All-on-X), z natychmiastowym efektem estetycznym już tego samego dnia. Całość leczenia, od pierwszej wizyty po osadzenie ostatecznej pracy protetycznej, udało się zrealizować w zaledwie 4 miesiące. Efekt? Naturalny, trwały i piękny uśmiech, który wymaga teraz tylko jednej rzeczy – systematycznej higieny i kontroli, by cieszył przez długie lata.
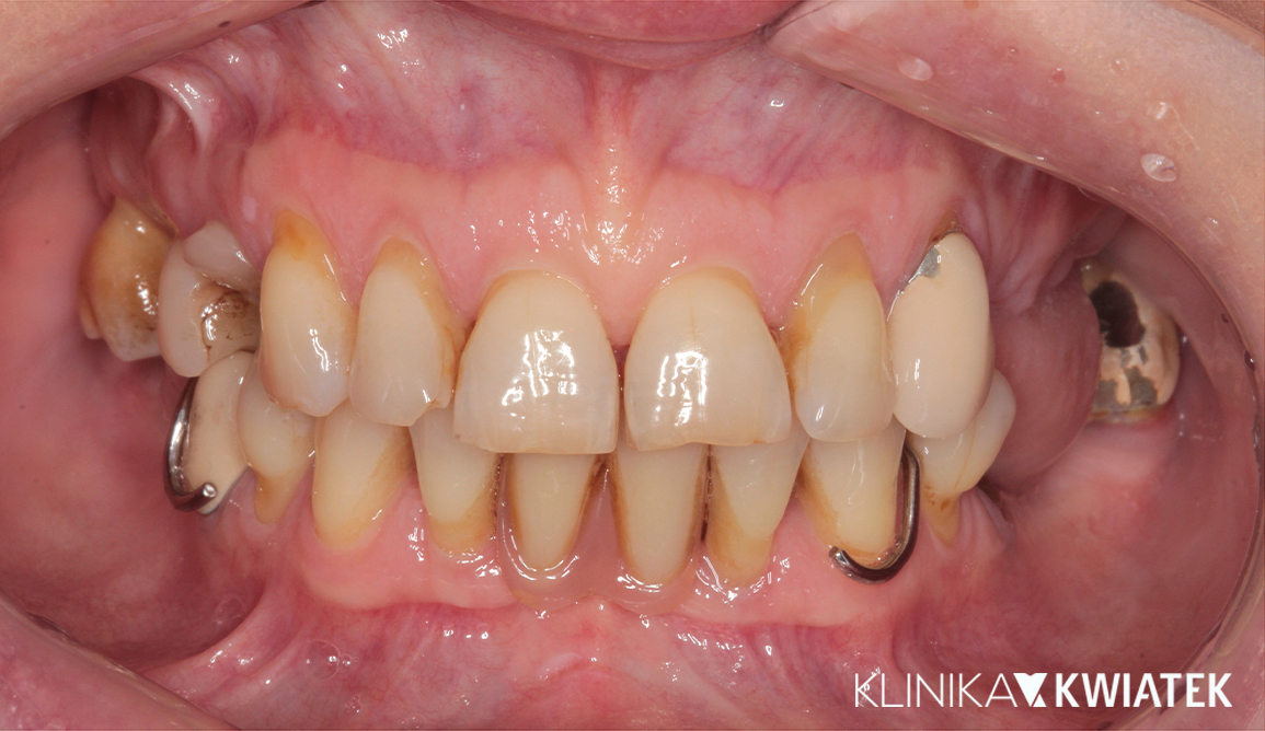
Pacjentka zgłosiła się do naszej kliniki z rozległymi problemami przyzębia i znaczną ruchomością zębów, które uniemożliwiały komfortowe jedzenie i swobodny uśmiech. Dodatkowym utrudnieniem była ruchoma proteza, ograniczająca codzienne funkcjonowanie. Po kompleksowej diagnostyce wdrożono plan leczenia implantoprotetycznego obejmujący ekstrakcje, augmentacje i odbudowę całych łuków zębowych. Finalnie wykonano prace przykręcane na implantach w szczęce i żuchwie, przywracając pełną estetykę uśmiechu oraz funkcję żucia.
Jeszcze niedawno nasza pacjentka Pani Magdalena zmagała się z bezzębiem i ruchomymi protezami, które odbierały jej pewność siebie i komfort każdego dnia. Dzięki kompleksowemu leczeniu implantologicznemu i cyfrowej odbudowie protetycznej odzyskała nie tylko pełną funkcjonalność, ale przede wszystkim piękny, naturalny uśmiech. Dziś cieszy się nową jakością życia – bez kompromisów, bez ograniczeń, z uśmiechem pełnym blasku!
Nasza Pacjentka, użytkowniczka dwóch protez ruchomych posiadająca dwa implanty z innej placówki, zgłosiła się do naszej kliniki z potrzebą uzyskania komfortu i trwałego, niewyjmowanego rozwiązania protetycznego. Dzięki kompleksowej diagnostyce, zaawansowanej implantologii i pracy zespołu specjalistów, możliwa była pełna metamorfoza – zarówno funkcjonalna, jak i estetyczna. Finalna praca spełniła marzenia Pacjentki o stabilnym, naturalnym i pięknym uśmiechu.