Zastanawiasz się, jak wygląda wybielanie zębów przed i po?
W naszej Klinice wykonujemy wybielanie nakładkowe, łączone wybielanie zębów Philips Zoom oraz szybkie wybielanie BlancOne Click – to skuteczne i bezpieczne metody, które zapewniają szybkie, widoczne rezultaty
Pani Hanna zgłosiła się z uśmiechem naznaczonym wieloletnimi wypełnieniami, przebytym leczeniem ortodontycznym oraz zaburzoną funkcją zgryzu. Po kompleksowej diagnostyce, starannym przygotowaniu tkanek i profesjonalnym wybielaniu wykonano precyzyjny remodeling zębów metodą flow injection, który przywrócił naturalne proporcje, świetlistość i harmonię łuków zębowych. Rezultatem jest metamorfoza subtelna, a zarazem wyraźnie odmieniająca wyraz twarzy, uśmiech jasny, elegancki i w pełni naturalny, podkreślający kobiecą delikatność oraz ponadczasową estetykę.
Do naszej kliniki zgłosiła się Pacjentka, która w przeszłości była już leczona ortodontycznie. Mimo wcześniejszego leczenia wciąż zmagała się z brakiem górnej dwójki oraz przesuniętą linią pośrodkową, co wpływało zarówno na estetykę uśmiechu, jak i na prawidłową funkcję zgryzu.
Postawiliśmy na kompleksowe podejście – połączyliśmy leczenie ortodontyczne, implantologiczne oraz protetyczne. Dzięki temu udało się uzyskać harmonijny, pełen blasku uśmiech oraz prawidłowe warunki zgryzowe.
Efekt końcowy? Naturalna estetyka, piękny uśmiech i komfort, który daje Pacjentce pełną satysfakcję.
Pani Ania zgłosiła się do naszej kliniki z wrodzonym brakiem zawiązków siekaczy bocznych, który od lat wpływał na proporcje uśmiechu i pewność siebie. Po utracie dotychczasowej pracy tymczasowej podjęła decyzję o trwałej metamorfozie. Zastosowano leczenie implantologiczne, cyfrowy projekt uśmiechu (DSD), koronę na implancie, licówki, zabiegi periodontologiczne oraz odbudowy w pełni cyfrowym protokole. Efekt? Naturalny, harmonijny uśmiech, który wydobył jej urodę i realnie zmienił jakość życia.
Nicolaas to nasz stały Pacjent – zawsze uśmiechnięty, serdeczny i niezwykle wdzięczny, a praca z nim to czysta przyjemność. Jednym z ważnych etapów jego kompleksowego leczenia okazał się problematyczny siekacz 11, który wyraźnie zaburzał harmonię jego uśmiechu i wymagał wyjątkowo precyzyjnej interwencji. Dzięki zaawansowanemu leczeniu pod mikroskopem oraz perfekcyjnie zaprojektowanej odbudowie protetycznej ten kluczowy ząb odzyskał swoją funkcję i naturalne piękno, a uśmiech Pacjenta znów prezentuje się harmonijnie i zdrowo.
Pacjentka zgłosiła się do kliniki z potrzebą kompleksowej poprawy zarówno funkcji zgryzu, jak i estetyki uśmiechu. W badaniu stwierdzono zgryz krzyżowy, stłoczenia zębów oraz liczne problemy wymagające leczenia zachowawczego i protetycznego, co wymagało wieloetapowego, interdyscyplinarnego podejścia. Terapię poprzedziło staranne przygotowanie jamy ustnej obejmujące ekstrakcję zębów mądrości, profesjonalną higienizację oraz odbudowę osłabionych struktur. Następnie wdrożono zaawansowane leczenie ortodontyczne z wykorzystaniem nowoczesnego systemu nakładkowego. Rezultatem jest harmonijny, stabilny zgryz, idealnie ukształtowane łuki zębowe oraz wyraźnie odmłodzony, jasny uśmiech, podkreślony profesjonalnym wybielaniem.
Pacjentka przez lata użytkowała starą pracę protetyczną w odcinku 16 do 14, która z czasem przestała spełniać zarówno funkcję estetyczną, jak i funkcjonalną. Po szczegółowej diagnostyce zaproponowano najnowocześniejsze i najbardziej przewidywalne rozwiązanie w postaci implantacji w miejscu brakującego zęba 15 oraz wykonanie nowych koron ceramicznych. Efektem jest trwała, komfortowa i naturalnie wyglądająca odbudowa, przywracająca prawidłowe warunki żucia i harmonię uśmiechu.
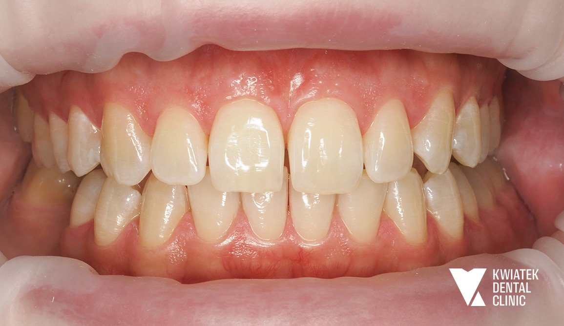
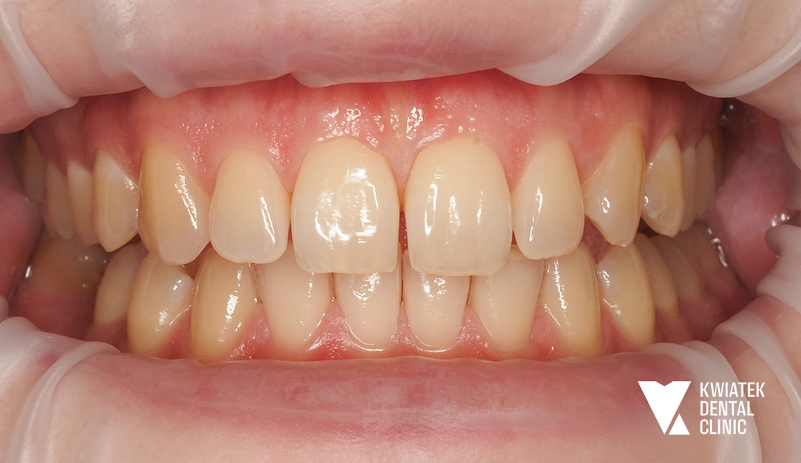
Impulsem do wizyty w naszej klinice była potrzeba holistycznej poprawy uśmiechu przez naszą Pacjentkę - zarówno w aspekcie zdrowotnym, jak i estetycznym. Metamorfozę rozpoczęto od profesjonalnej higienizacji jamy ustnej przeprowadzonej w protokole Guided Biofilm Therapy, po której wykonano szybkie i bezpieczne rozjaśnianie zębów metodą Blanc One Click. Efektem jest wyraźnie jaśniejszy, świeży uśmiech oraz natychmiastowy komfort i satysfakcja Pacjentki.
Pacjent zgłosił się do kliniki z licznymi problemami stomatologicznymi oraz wadą zgryzu, wymagającymi kompleksowego i wielospecjalistycznego leczenia. Dzięki precyzyjnej diagnostyce, nowoczesnym technologiom i ścisłej współpracy zespołu specjalistów przeprowadzono wieloetapową terapię obejmującą stomatologię zachowawczą, endodoncję mikroskopową, chirurgię, protetykę oraz ortodoncję. Efektem jest harmonijny, stabilny i spektakularnie estetyczny uśmiech klasy premium.
Pacjentka zgłosiła się z wieloletnimi problemami stomatologicznymi, wadą zgryzu, resorpcją korzeni po wcześniejszych leczeniach ortodontycznych oraz licznymi ubytkami i stanami zapalnymi. Proces leczenia obejmował etapową sanację jamy ustnej, leczenie chirurgiczne, protetyczne i estetyczne, poprzedzone szczegółową diagnostyką i planowaniem cyfrowym. Efektem jest stabilny funkcjonalnie, zdrowy oraz naturalnie estetyczny uśmiech, dopasowany do indywidualnych warunków Pacjentki.
Pacjentka zgłosiła się z licznymi ubytkami, znacznym starciem zębów oraz objawami przeciążenia zgryzu wynikającymi z wieloletniego zaciskania i zgrzytania. Po pełnej diagnostyce przeprowadzono higienizację, leczenie zachowawcze, endodontyczne i szynoterapię, a następnie ortodoncję oraz finalną odbudowę estetyczno-protetyczną wszystkich startych powierzchni zębów. Efektem jest stabilny, zdrowy zgryz, prawidłowa praca stawów oraz harmonijny, trwały i estetyczny uśmiech Pacjentki.