Higienizacja to profesjonalny zabieg profilaktyczny wykonywany w naszej Klinice według protokołu GBT (Guided Biofilm Therapy), który w nowoczesny i bezpieczny sposób usuwa biofilm, kamień nazębny oraz osady i przebarwienia. Regularne zabiegi pozwalają nie tylko poprawić estetykę uśmiechu i świeżość oddechu, ale przede wszystkim skutecznie zapobiegają chorobom dziąseł i próchnicy. Efekty higienizacji są widoczne od razu – zęby stają się gładsze, jaśniejsze i zdrowsze.


Nowość!
PRZED
PO
PRZED
PO

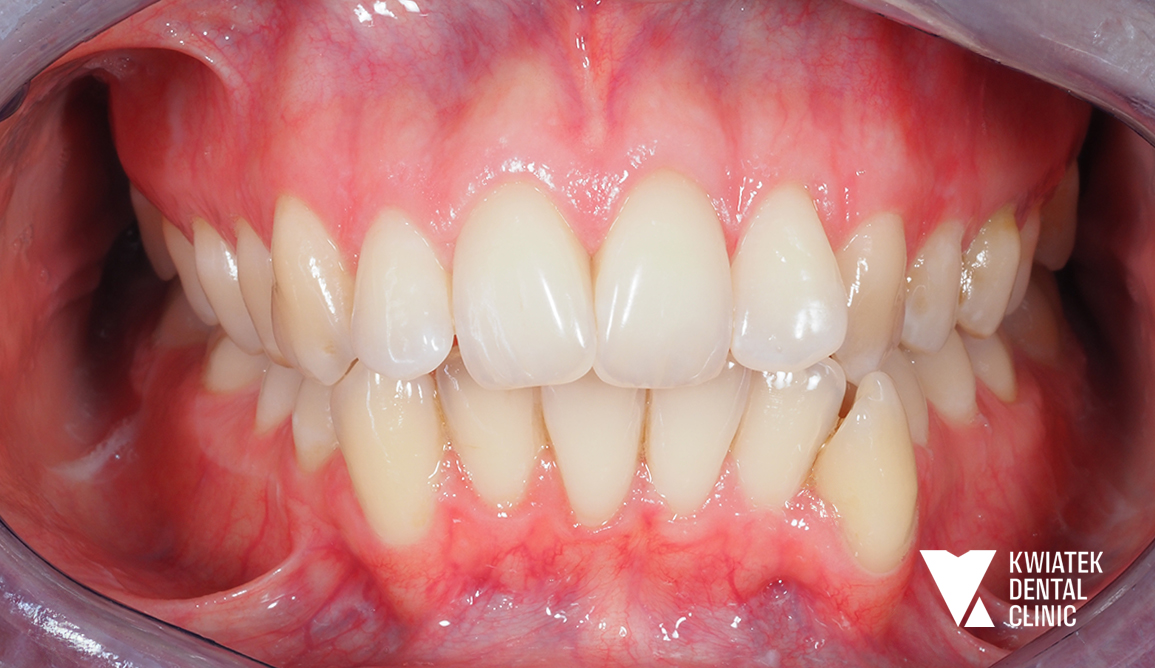
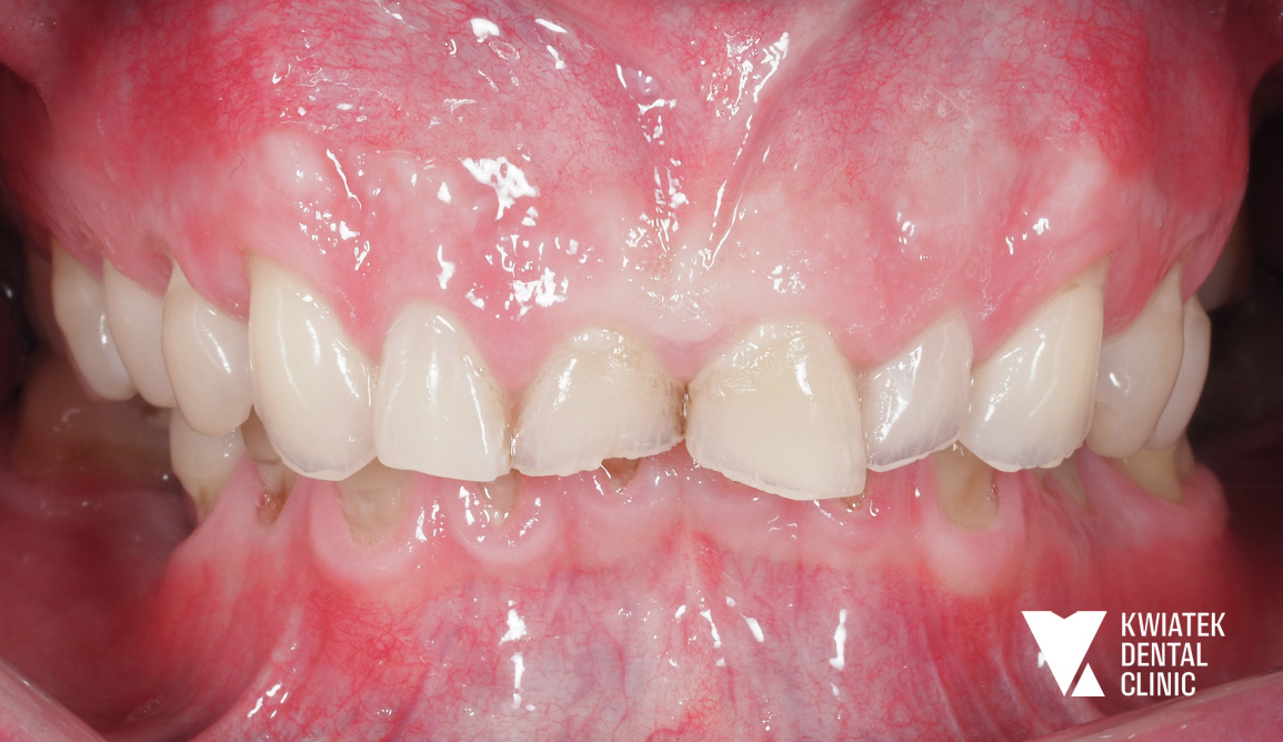
Kobieca harmonia - naturalna metamorfoza pełna światła i finezji

Pani Hanna zgłosiła się z uśmiechem naznaczonym wieloletnimi wypełnieniami, przebytym leczeniem ortodontycznym oraz zaburzoną funkcją zgryzu. Po kompleksowej diagnostyce, starannym przygotowaniu tkanek i profesjonalnym wybielaniu wykonano precyzyjny remodeling zębów metodą flow injection, który przywrócił naturalne proporcje, świetlistość i harmonię łuków zębowych. Rezultatem jest metamorfoza subtelna, a zarazem wyraźnie odmieniająca wyraz twarzy, uśmiech jasny, elegancki i w pełni naturalny, podkreślający kobiecą delikatność oraz ponadczasową estetykę.

PRZED
PO
PRZED
PO

Uśmiech odzyskany – od kompleksowej terapii do naturalnego efektu!

Do naszej kliniki zgłosiła się Pacjentka, która w przeszłości była już leczona ortodontycznie. Mimo wcześniejszego leczenia wciąż zmagała się z brakiem górnej dwójki oraz przesuniętą linią pośrodkową, co wpływało zarówno na estetykę uśmiechu, jak i na prawidłową funkcję zgryzu.
Postawiliśmy na kompleksowe podejście – połączyliśmy leczenie ortodontyczne, implantologiczne oraz protetyczne. Dzięki temu udało się uzyskać harmonijny, pełen blasku uśmiech oraz prawidłowe warunki zgryzowe.
Efekt końcowy? Naturalna estetyka, piękny uśmiech i komfort, który daje Pacjentce pełną satysfakcję.

PRZED
PO

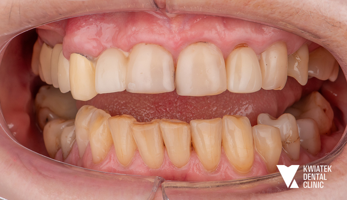
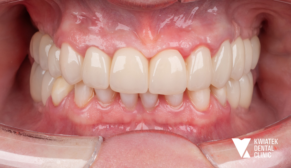
Kompleksowa odbudowa obu łuków zębowych na implantach

Pełna metamorfoza uśmiechu u Pacjenta, który dotąd korzystał z częściowej protezy. W łuku górnym wykonano odbudowę All-on-6, a dolny łuk zrekonstruowano za pomocą mostów na implantach i koron pełnoceramicznych. Efekt? Naturalny, stabilny uśmiech, który przywrócił pewność siebie i komfort na co dzień.

PRZED
PO
PRZED
PO

Uśmiech bez kompromisów-od protezy ruchomej do stałych, estetycznych prac na implantach

Nasza Pacjentka, Pani Małgorzata, przez lata użytkowała protezę szkieletową górną, która nie zapewniała jej oczekiwanego komfortu ani estetyki. Leczenie zaplanowaliśmy w dwóch etapach – najpierw pełna odbudowa dolnego łuku na implantach, a następnie kompleksowa rekonstrukcja szczęki w systemie all-on-6. Dzięki temu Pacjentka mogła pożegnać się z protezą ruchomą i cieszyć się stabilnym, estetycznym oraz w pełni funkcjonalnym uśmiechem.

Nowość!
PRZED
PO
PRZED
PO

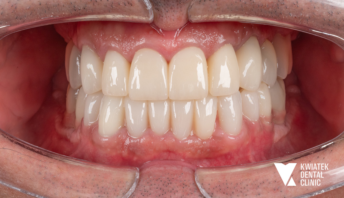
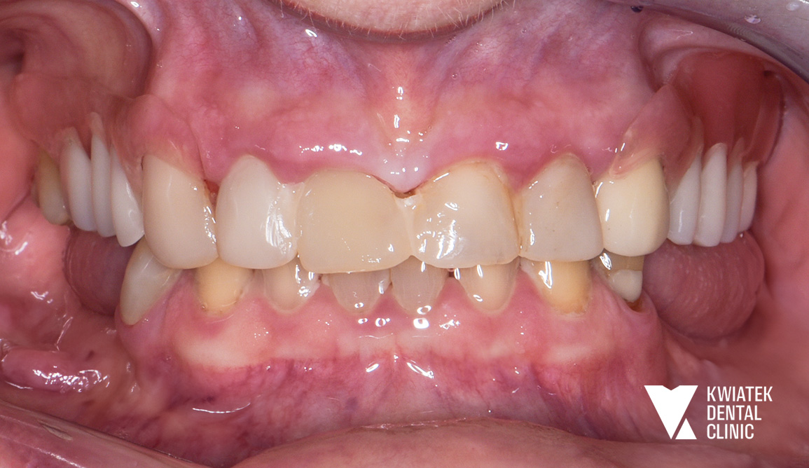
Projekt: komfort na lata czyli uśmiech gotowy na kolejne dekady

Pacjent zgłosił się z powodu ruszającego się mostu oraz bardzo starych koron wykonanych ponad 20 lat wcześniej, którym towarzyszyło znaczne obniżenie poziomu dziąseł i nieprawidłowe warunki zgryzowe. Leczenie obejmowało kompleksową diagnostykę, usunięcie przestarzałych prac, leczenie chirurgiczne, implantologiczne, endodontyczne oraz pełną rekonstrukcję protetyczną. Efektem jest stabilny, funkcjonalny i estetyczny uśmiech oparty na implantach oraz pełnoceramicznych koronach.

 

PRZED
PO
PRZED
PO

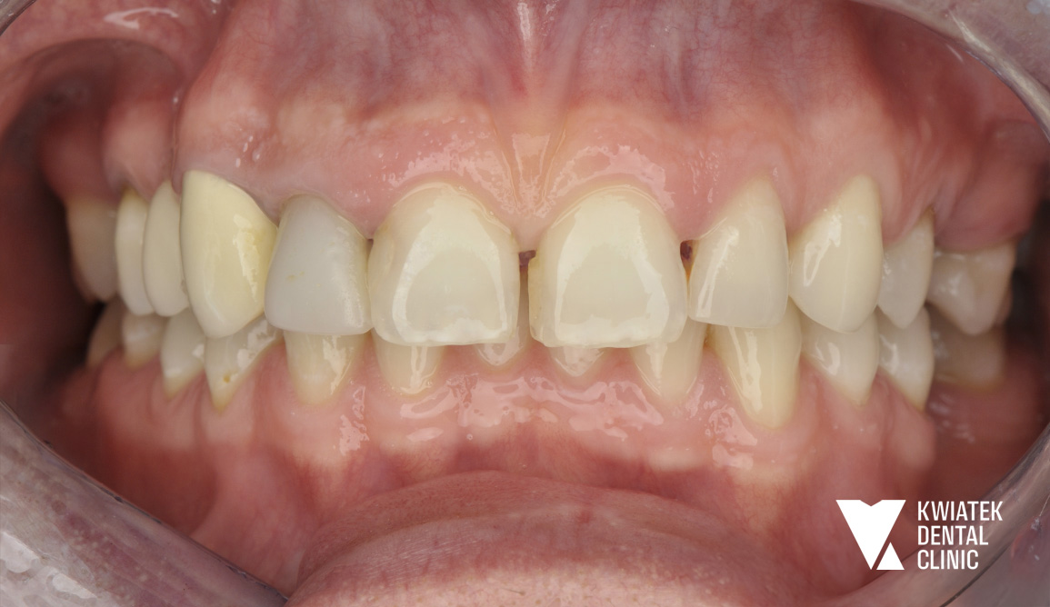
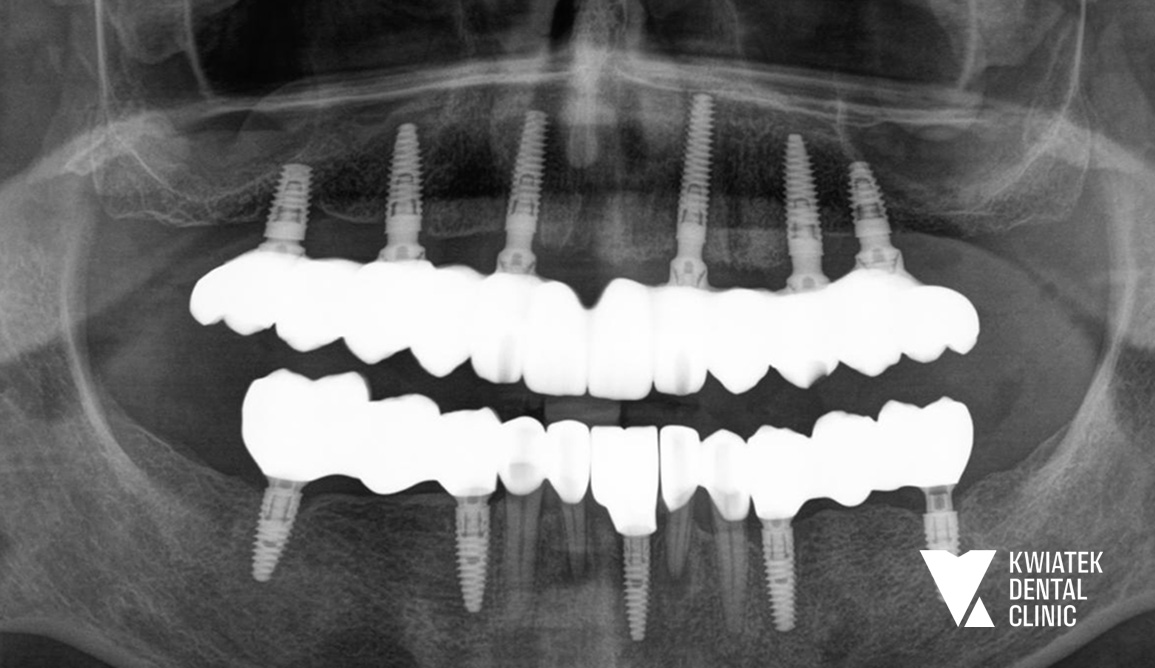
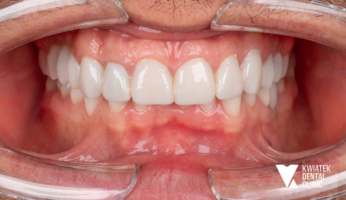
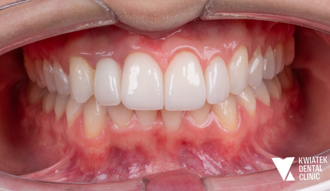
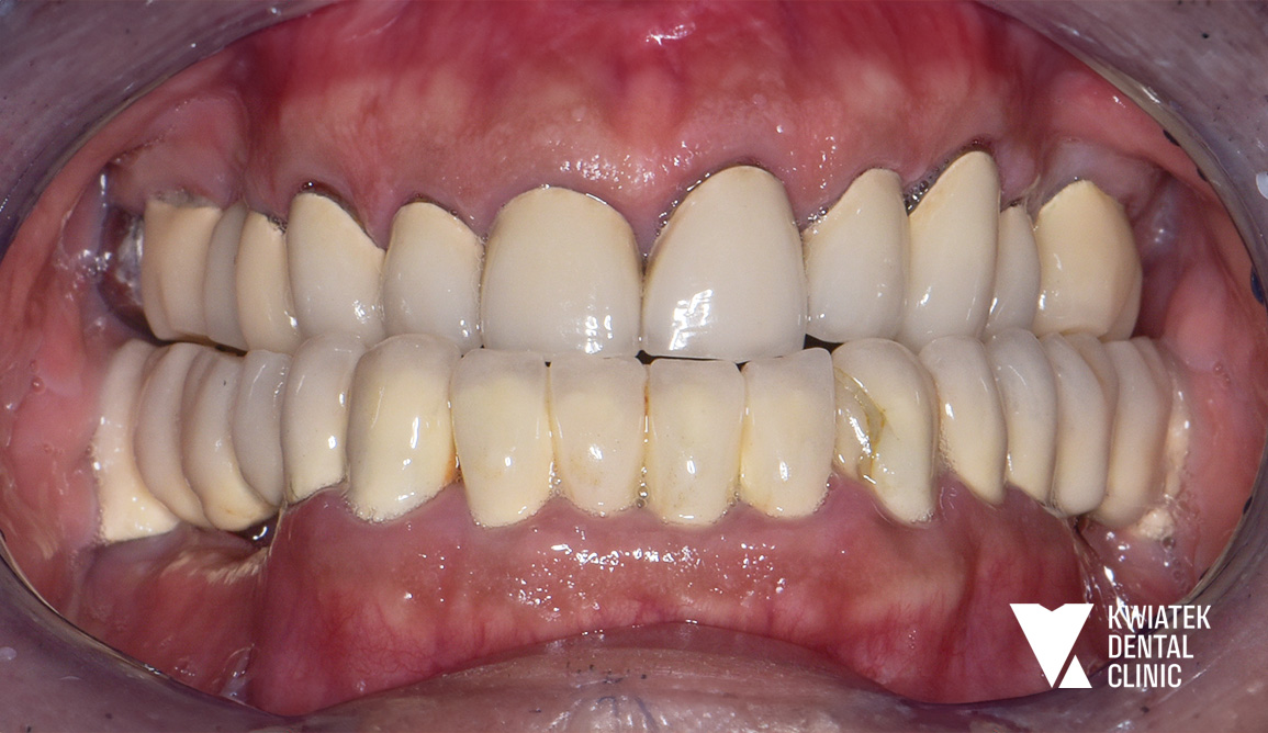
Gdy leczenie staje się sztuką: pełna rehabilitacja jamy ustnej

Do naszej kliniki zgłosił się Pacjent z wieloletnimi, narastającymi problemami stomatologicznymi, obejmującymi liczne ubytki próchnicowe, braki zębowe oraz zużyte, nieszczelne uzupełnienia protetyczne, które przestały spełniać swoją funkcję. Leczenie wymagało precyzyjnie zaplanowanej, wielomiesięcznej terapii obejmującej chirurgię, implantologię, endodoncję mikroskopową oraz rekonstrukcję protetyczną. Finalnie uzyskano stabilną funkcję, wysoką estetykę oraz fizjologiczne warunki pracy narządu żucia.

Nowość!
PRZED
PO
PRZED
PO

Luksus dyskretnej ortodoncji oparty na zaawansowanej technologii nakładkowej

Pacjentka zgłosiła się do kliniki z potrzebą kompleksowej poprawy zarówno funkcji zgryzu, jak i estetyki uśmiechu. W badaniu stwierdzono zgryz krzyżowy, stłoczenia zębów oraz liczne problemy wymagające leczenia zachowawczego i protetycznego, co wymagało wieloetapowego, interdyscyplinarnego podejścia. Terapię poprzedziło staranne przygotowanie jamy ustnej obejmujące ekstrakcję zębów mądrości, profesjonalną higienizację oraz odbudowę osłabionych struktur. Następnie wdrożono zaawansowane leczenie ortodontyczne z wykorzystaniem nowoczesnego systemu nakładkowego. Rezultatem jest harmonijny, stabilny zgryz, idealnie ukształtowane łuki zębowe oraz wyraźnie odmłodzony, jasny uśmiech, podkreślony profesjonalnym wybielaniem.

PRZED
PO
PRZED
PO

Architektura uśmiechu - pełna rekonstrukcja w standardzie premium

Nie każda metamorfoza zaczyna się od estetyki. Czasem zaczyna się od utraty wysokości zwarcia, napięcia mięśni i uśmiechu, który przestaje być naturalny.

Pacjent zgłosił się z nasilonym starciem zębów, zaciskaniem oraz odwróconą linią uśmiechu. Towarzyszyły temu rozległe ubytki  próchnicowe i zęby wymagające ponownego leczenia kanałowego. Zaprojektowaliśmy kompleksową, interdyscyplinarną rehabilitację jamy ustnej - od leczenia zachowawczego i chirurgii periodontologicznej, przez nawigowaną implantologię, po pełną odbudowę protetyczną.

Efekt to stabilne zwarcie, harmonijna linia dziąseł i naturalna, pełnoceramiczna estetyka. Nie korekta. Precyzyjna rekonstrukcja.

Nowość!
PRZED
PO
PRZED
PO

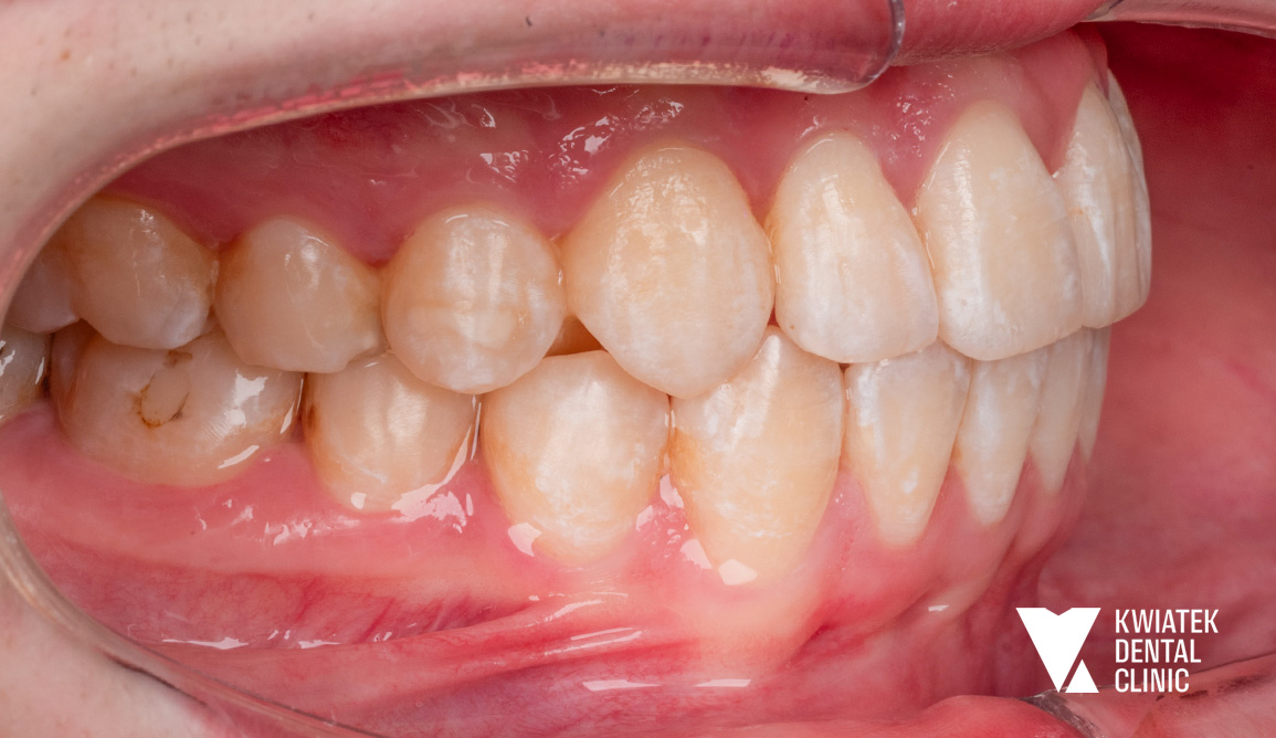
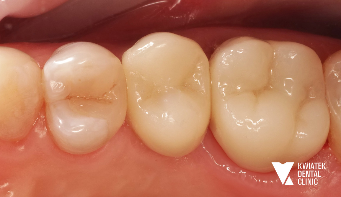
Implant zamiast kompromisu - funkcja i estetyka na najwyższym poziomie

Pacjentka przez lata użytkowała starą pracę protetyczną w odcinku 16 do 14, która z czasem przestała spełniać zarówno funkcję estetyczną, jak i funkcjonalną. Po szczegółowej diagnostyce zaproponowano najnowocześniejsze i najbardziej przewidywalne rozwiązanie w postaci implantacji w miejscu brakującego zęba 15 oraz wykonanie nowych koron ceramicznych. Efektem jest trwała, komfortowa i naturalnie wyglądająca odbudowa, przywracająca prawidłowe warunki żucia i harmonię uśmiechu.

PRZED
PO
PRZED
PO

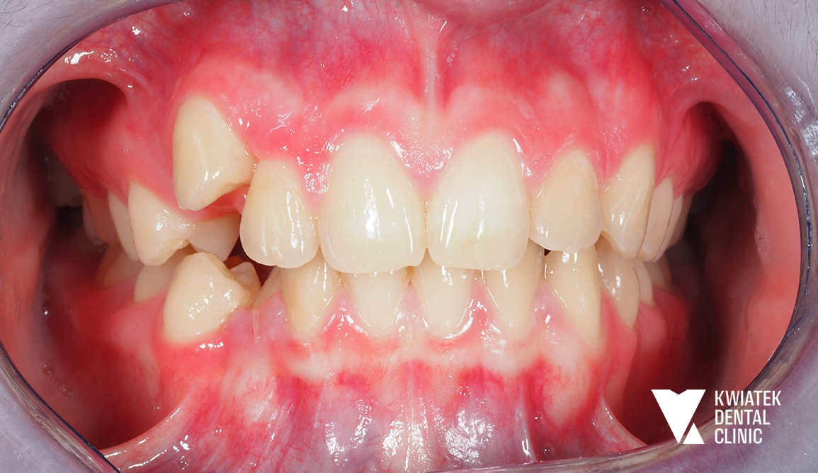
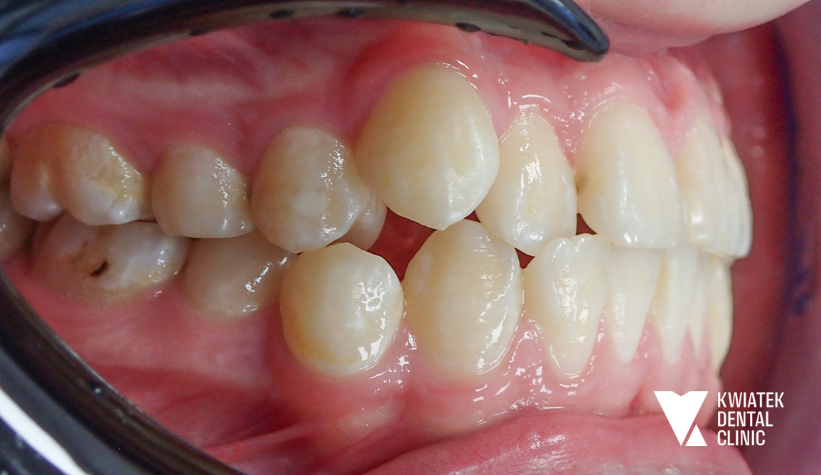
Pełna rekonstrukcja zwarcia i estetyki - historia wymagającej metamorfozy

Pacjent zgłosił się do kliniki z zaawansowanymi problemami stomatologicznymi: licznymi ubytkami próchnicowymi, brakami zębowymi, starciem zębów oraz zaburzeniami zwarcia. Leczenie obejmowało kompleksową diagnostykę, leczenie zachowawcze i endodontyczne, zabiegi chirurgiczne, implantację oraz wieloetapową odbudowę protetyczną. Efektem terapii jest perfekcyjnie zbalansowany zgryz, najwyższy komfort funkcjonowania oraz naturalnie piękny uśmiech, który podkreśla indywidualny charakter pacjenta i pozwala mu w pełni cieszyć się nim każdego dnia.

Do you have questions?
Would you like to schedule an appointment?
Call us