PRZED
PO

Nowy uśmiech dzięki implantowi w strefie zęba 46

Pacjent zgłosił się z brakiem zęba 46, co utrudniało funkcję żucia i wpływało na komfort codziennego życia. Po kompleksowej diagnostyce zaplanowano wszczepienie implantu MIS C1 i odbudowę koroną pełnoceramiczną. Finalny efekt to naturalny wygląd i pełna funkcjonalność zgryzu – Pacjent odzyskał komfort oraz estetykę uśmiechu.

PRZED
PO
PRZED
PO

Kompleksowa metamorfoza uśmiechu – od ortodoncji po protetykę i implantologię

 Pacjent zgłosił się do kliniki z problemem przetrwałych zębów mlecznych, diastemy i nierównego zgryzu, oczekując szybkiego, ale trwałego efektu estetycznego. Przeprowadzono wieloetapowe leczenie obejmujące higienizację, leczenie zachowawcze, terapię nakładkami ortodontycznymi, implantację oraz nowoczesną protetykę. Finalnym efektem jest harmonijny, biały i zdrowy uśmiech, dopasowany do rysów twarzy.

PRZED
PO
PRZED
PO

Technologia i troska – wspólna droga do zdrowego uśmiechu!

Jeszcze niedawno nasza pacjentka Pani Magdalena zmagała się z bezzębiem i ruchomymi protezami, które odbierały jej pewność siebie i komfort każdego dnia. Dzięki kompleksowemu leczeniu implantologicznemu i cyfrowej odbudowie protetycznej odzyskała nie tylko pełną funkcjonalność, ale przede wszystkim piękny, naturalny uśmiech. Dziś cieszy się nową jakością życia – bez kompromisów, bez ograniczeń, z uśmiechem pełnym blasku!

PRZED
PO
PRZED
PO

Metamorfoza -od utraty zębów do pełnego, zdrowego uśmiechu!!

Do naszej kliniki zgłosiła się Pacjentka z powodu licznych braków zębowych, pękniętego mostu oraz zębów zniszczonych próchnicą. Po dokładnej diagnostyce wdrożono kompleksowe leczenie obejmujące ekstrakcje, implantacje i odbudowę protetyczną. Efektem jest piękny,naturalny, stabilny i estetyczny uśmiech, który przywrócił Pacjentce zdrowie i pewność siebie.

PRZED
PO
PRZED
PO

Metamorfoza uśmiechu – funkcja i piękno w równowadze!

Pacjentka zgłosiła się do naszej kliniki z głębokim zgryzem, brakiem wielu zębów bocznych oraz dolegliwościami stawu skroniowo-żuchwowego. Po wykonaniu szczegółowej diagnostyki zaplanowano kompleksowe leczenie obejmujące endodoncję mikroskopową, korony pełnoceramiczne CAD/CAM, mosty oraz protezę szkieletową na zatrzaskach. Efektem jest harmonijny, stabilny zgryz, estetyczny uśmiech i ustąpienie dolegliwości bólowych.

PRZED
PO
PRZED
PO

Kompleksowa metamorfoza- od utraconych zębów do zdrowego uśmiechu !

Pan Rafał zgłosił się do nas z poważnymi problemami stomatologicznymi– brakami w uzębieniu, zmianami próchnicowymi oraz trudnościami w żuciu. Dzięki kompleksowej diagnostyce i wieloetapowemu leczeniu implantologiczno-protetycznemu udało się odbudować brakujące zęby, przywrócić prawidłowy zgryz oraz poprawić estetykę uśmiechu. Efekt końcowy to naturalny, zdrowy uśmiech oraz pełen komfort funkcjonalny.

PRZED
PO
PRZED
PO

Wielospecjalistyczna droga do pięknego i zdrowego uśmiechu!

Pacjentka zgłosiła się z rozległymi problemami – liczne wypełnienia wymagające wymiany, utracone zęby boczne, nieszczelne korony oraz stłoczenia w odcinku przednimLeczenie wymagało etapów zachowawczych, endodontycznych, ortodontycznych, a także implantologii i protetyki estetycznej. Efekt końcowy to zdrowe, prawidłowo ustawione zęby i harmonijny, naturalny uśmiech.

PRZED
PO

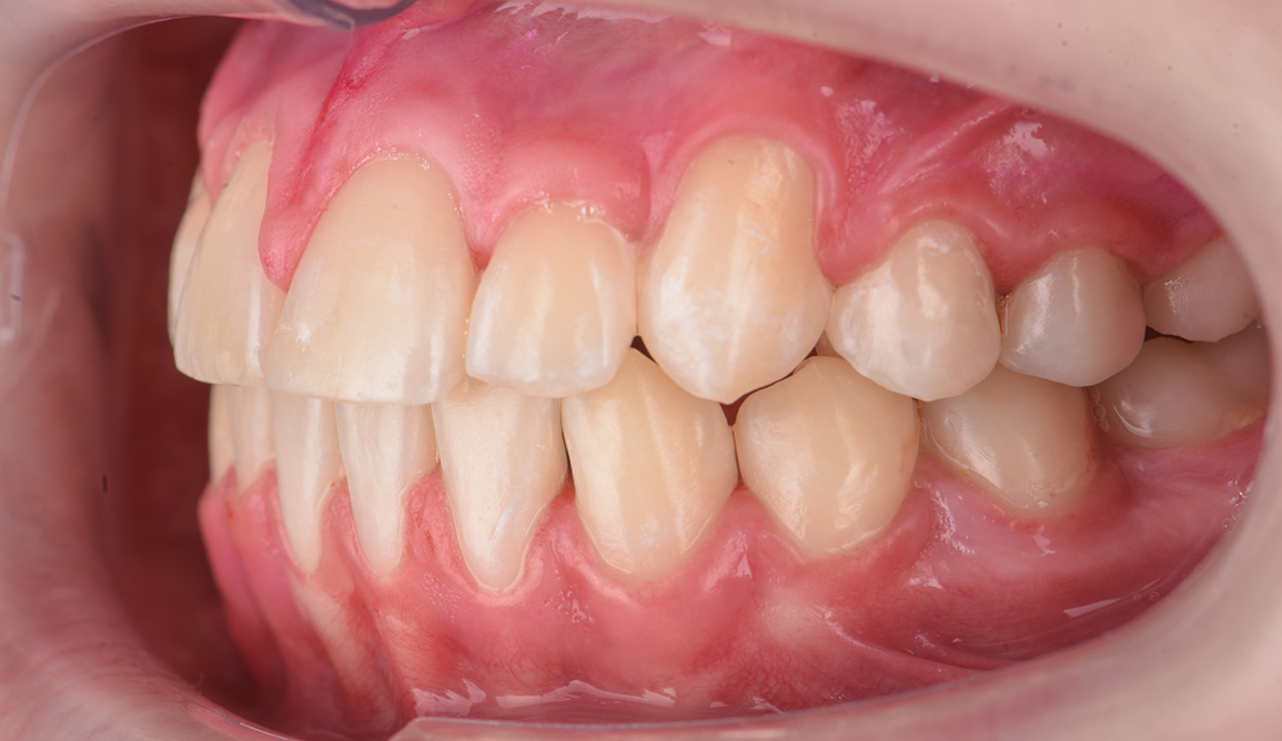
Precyzja periodontologa i wsparcie higienistki – piękny efekt leczenia!

Pacjent zgłosił się z zaawansowaną recesją dziąseł w odcinku dolnych siekaczy oraz nadwrażliwością. Po kompleksowej diagnostyce wdrożono etapowe leczenie: higienizację i instruktaż domowej higieny, a następnie zabieg pokrycia recesji metodą Zucchelliego z przeszczepem z podniebienia. Dzięki profesjonalnej współpracy periodontologa i higienistek uzyskano doskonały efekt a Pacjent odzyskał komfort i estetykę uśmiechu.

PRZED
PO
PRZED
PO

Kobiecy uśmiech w pełnej harmonii-historia metamorfozy naszej Pacjentki!

Pacjentka zgłosiła się z problemami związanymi ze starymi pracami protetycznymi, recesją dziąseł, bólem oraz brakami zębowymi. Wdrożono kompleksowy plan leczenia obejmujący diagnostykę obrazową, leczenie endodontyczne, ekstrakcje, implantacje, przeszczepy dziąseł, wydłużenie koron klinicznych oraz nowoczesną protetykę cyfrową. Efektem jest zdrowy, stabilny i estetyczny uśmiech, przywrócona funkcja żucia i komfort życia.

PRZED
PO
PRZED
PO

Uśmiech, który wrócił na właściwe tory - metamorfoza ortodontyczno-estetyczna!

Do naszej kliniki zgłosiła się pacjentka z problemem nawrotu wady zgryzu po wcześniejszym leczeniu ortodontycznym. Przeprowadzono kompleksową diagnostykę i wdrożono terapię z wykorzystaniem aparatu stałego, uzupełnioną o higienizację, wybielanie oraz odbudowę estetyczną. Efektem końcowym jest zdrowy, funkcjonalny i harmonijny uśmiech, utrwalony retencją.

Do you have questions?
Would you like to schedule an appointment?
Call us