PRZED
PO
PRZED
PO

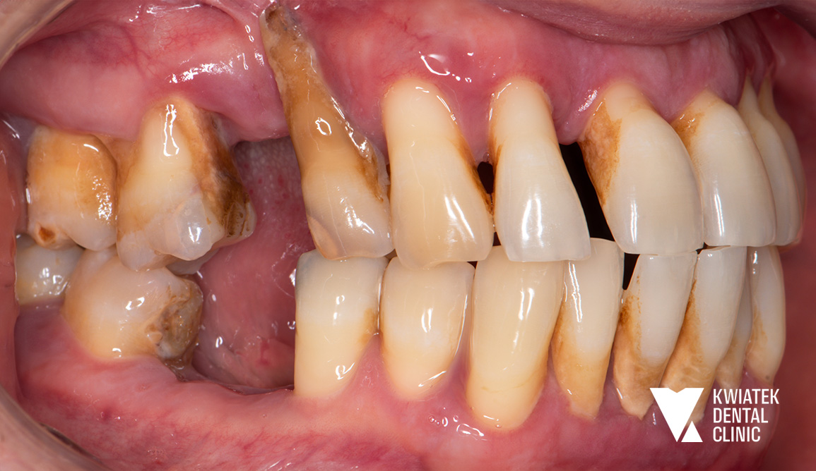
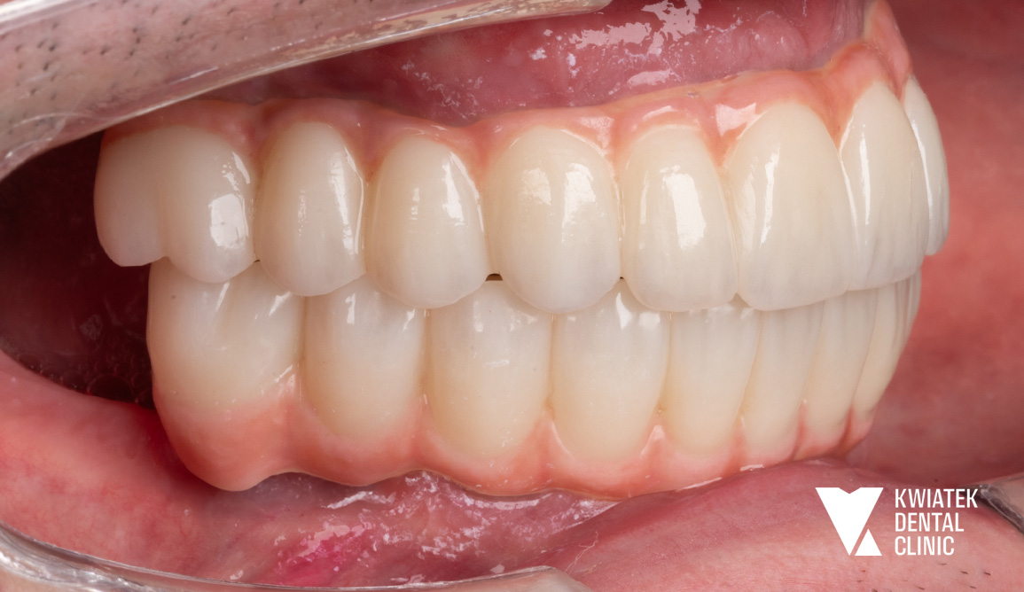
Kompleksowa odbudowa uśmiechu na implantach (all on 6)

U Pacjenta zdiagnozowano zaawansowane zapalenie przyzębia i ruchomość wszystkich zębów. Ze względu na brak możliwości leczenia zachowawczego zakwalifikowano zęby do usunięcia. W trakcie jednej wizyty wszczepiono 6 implantów w szczęce i 6 w żuchwie (all on 6) oraz osadzono prace tymczasowe. Po zakończonym gojeniu wykonano pełną odbudowę w postaci 12 koron na implantach w łuku górnym i 12 w łuku dolnym. Efekt: naturalny, stabilny i pełny uśmiech.

PRZED
PO

Metamorfoza uśmiechu Pacjenta – historia leczenia ortodontycznego (aparat stały samoligaturujący)

Nasz Pacjent przeszedł spektakularną metamorfozę uśmiechu dzięki leczeniu ortodontycznemu.
Po dokładnej diagnostyce i usunięciu ósemek założono aparat stały samoligaturujący, a dzięki wzorowej współpracy i dbałości o higienę uzyskaliśmy idealnie wyrównane łuki i prawidłowy zgryz.
Efekt jest aktualnie utrwalany podczas leczenia retencyjnego.

PRZED
PO
PRZED
PO

Odbudowy pełnołukowe w szczęce i żuchwie

Pacjent zgłosił się z rozległymi problemami stomatologicznymi, które uniemożliwiały komfortowe funkcjonowanie. Ze względu na współistniejącą cukrzycę, leczenie zaplanowano tak, by ograniczyć liczbę interwencji i maksymalnie zadbać o bezpieczeństwo gojenia.

Celem Pacjenta była pełna odbudowa uśmiechu – stabilna, estetyczna i trwała.

Zrealizowaliśmy ją za pomocą prac typu All-on na implantach, krok po kroku – wspólnie, z zaangażowaniem Pacjenta i pełnym zaufaniem.

PRZED
PO

Kompleksowe leczenie stomatologiczne - wybielanie, bonding i odbudowy protetyczne

Pacjent zgłosił się z obniżoną wysokością zwarcia i przewlekłym dyskomfortem, który utrudniał codzienne funkcjonowanie i wpływał na wygląd uśmiechu. W ramach kompleksowego leczenia przeprowadzono szynoterapię, wybielanie, implantację, bonding, osadzono korony pełnoceramiczne oraz korony na implantach.

Profesjonalna higienizacja pozwoliła utrzymać idealne warunki w jamie ustnej i stanowiła solidny fundament dla skutecznej, przewidywalnej terapii.

PRZED
PO

Pełna odbudowa estetyczna uśmiechu

Pacjent zgłosił się do naszej Kliniki z potrzebą kompleksowego leczenia – zależało mu na poprawie estetyki, funkcji oraz zdrowia zębów. Po leczeniu zachowawczym i endodontycznym zaplanowano pełną odbudowę estetyczno-funkcjonalną w oparciu o projekt wax-up. W ramach terapii przeprowadzono deprogramację, wszczepiono implanty oraz wykonano korony na implantach, licówki i korony pełnoceramiczne. Efekt? Naturalny, spójny uśmiech i nowy poziom komfortu na co dzień.

PRZED
PO

Kompleksowa rehabilitacja zgryzu i estetyki uśmiechu

Pacjentka zgłosiła się z potrzebą kompleksowego leczenia. Stwierdzono nieszczelne korony, zanik kości, stan zapalny dziąseł oraz silne starcie zębów w dolnym łuku. Wykonano leczenie zachowawcze, kanałowe, higienizację, kiretaże i bonding w łuku dolnym. Podniesiono zwarcie i rozpoczęto rehabilitację zgryzu. Pacjentka użytkuje korony tymczasowe w łuku górnym i jest w trakcie leczenia implantologicznego — już na tym etapie uzyskano widoczną poprawę estetyki i funkcji.

PRZED
PO
PRZED
PO

Naturalne i funkcjonalne odbudowy - wypełnienia nanokompozytowe

Pacjentka trafiła do naszej Kliniki na higienizację. Po szczegółowym badaniu stomatologicznym rozpoczęto leczenie zachowawcze.
Wykonano wypełnienia nanokompozytowe w koferdamie i pod kontrolą mikroskopu – z dbałością o detale, naturalny efekt i pełne poszanowanie tkanek.

Efekt? Zdrowy, harmonijny uśmiech!

PRZED
PO

Interdyscyplinarne podejście do leczenia wady zgryzu – stały aparat ortodontyczny

Zaawansowana wada zgryzu wymagała kompleksowego podejścia.
Zastosowano stały aparat ortodontyczny najlepiej dopasowany do potrzeb Pacjentki.
Dzięki współpracy specjalistów oraz zaangażowaniu Pacjentki, leczenie przebiegło sprawnie, a efekt to zdrowy, stabilny i estetyczny uśmiech.

PRZED
PO

Leczenie kompleksowe: stały aparat ortodontyczny, protetyka i precyzyjna odbudowa zgryzu

Pacjentka przeszła kompleksowe leczenie z wykorzystaniem stałego aparatu ortodontycznego samoligaturującego, indywidualnie dopasowanego do jej potrzeb.
Po zakończeniu leczenia ortodontycznego wykonano wax-up, mock-up oraz ekwilibrację zgryzu. Finalny efekt osiągnięto dzięki bondingowi w obu łukach.
Dzięki regularnym kontrolom i higienizacji może dziś cieszyć się zdrowym, funkcjonalnym i estetycznym uśmiechem.

PRZED
PO

Każdy ząb jest na wagę złota – precyzyjne wypełnienie pod mikroskopem

W górnej siódemce zdiagnozowano próchnicę. Dzięki szybkiej reakcji możliwe było leczenie zachowawcze – bez endodoncji.
Wypełnienie nanokompozytem, wykonane w koferdamie i pod mikroskopem, pozwoliło odtworzyć bruzdy, kształt i prawidłowe siły zgryzowe.

Szczelność wykonanego wypełnienia i utrzymywanie higieny to podstawa trwałości. A zdrowe zęby trzonowe to podstawa funkcji żucia i równowagi w całym układzie stomatognatycznym.

Do you have questions?
Would you like to schedule an appointment?
Call us