PRZED
PO
PRZED
PO

Uśmiech, który zmienia wszystko – kompleksowa metamorfoza dzięki korekcie wady zgryzu i estetycznej przebudowie

Pacjentka zgłosiła się z powodu napięć mięśniowych, zgrzytania zębami i dolegliwości ze strony stawów skroniowo-żuchwowych. Rozpoczęto terapię od szyny relaksacyjnej i fizjoterapii, a następnie wdrożono leczenie ortodontyczne oraz kompleksową odbudowę protetyczno-estetyczną. Efekt końcowy to nie tylko zdrowy zgryz i brak dolegliwości bólowych, ale także piękny, naturalny uśmiech.

PRZED
PO
PRZED
PO

Odbudowa estetyczna za pomocą koron, koron na implantach i licówek

Nasza Pacjentka marzyła o harmonijnym, jasnym uśmiechu – bez braków, asymetrii czy kompromisów estetycznych. Po zakończeniu leczenia ortodontycznego zdecydowała się na kompleksową metamorfozę: odbudowę brakujących zębów za pomocą koron na implantach, przeszczep dziąsła (FGG), wybielanie oraz bonding dolnych zębów techniką flow injection.

W trakcie leczenia korzystała także z fizjoterapii stomatologicznej, co pomogło zoptymalizować pracę stawów skroniowo-żuchwowych i mięśni żucia.

Efekt? Spójny, naturalny uśmiech, który nie tylko spełnił jej marzenie, ale też podkreślił rysy twarzy.

Regularne higienizacje i kontrole to klucz, który pozwoli utrzymać ten efekt na lata.

PRZED
PO
PRZED
PO

Odbudowy pełnołukowe na implantach w szczęce i żuchwie

Pan Krzysztof marzył o uśmiechu, który da mu pewność siebie i komfort życia – bez protez, bez kompromisów. Zakwalifikowano go do pełnołukowej odbudowy uśmiechu na implantach (All-on-6 / All-on-X), z natychmiastowym efektem estetycznym już tego samego dnia. Całość leczenia, od pierwszej wizyty po osadzenie ostatecznej pracy protetycznej, udało się zrealizować w zaledwie 4 miesiące. Efekt? Naturalny, trwały i piękny uśmiech, który wymaga teraz tylko jednej rzeczy – systematycznej higieny i kontroli, by cieszył przez długie lata.

PRZED
PO

Odbudowa estetyczna - na zębach własnych i implantach

Pacjentka zgłosiła się z rozległymi brakami zębowymi oraz nieszczelnymi, nieestetycznymi pracami protetycznymi, które nie spełniały już swojej funkcji. Zależało jej na kompleksowej poprawie wyglądu uśmiechu, ale także na przywróceniu prawidłowej funkcji żucia i komfortu.

Zaplanowano wieloetapowe leczenie implantoprotetyczne, koncentrujące się na odbudowie braków oraz stabilizacji zwarcia. W trakcie terapii wykonano korony na implantach, pełnoceramiczne korony na zębach własnych oraz licówki ceramiczne – wszystko po to, by uzyskać naturalny efekt i funkcjonalną równowagę na długie lata.

PRZED
PO
PRZED
PO

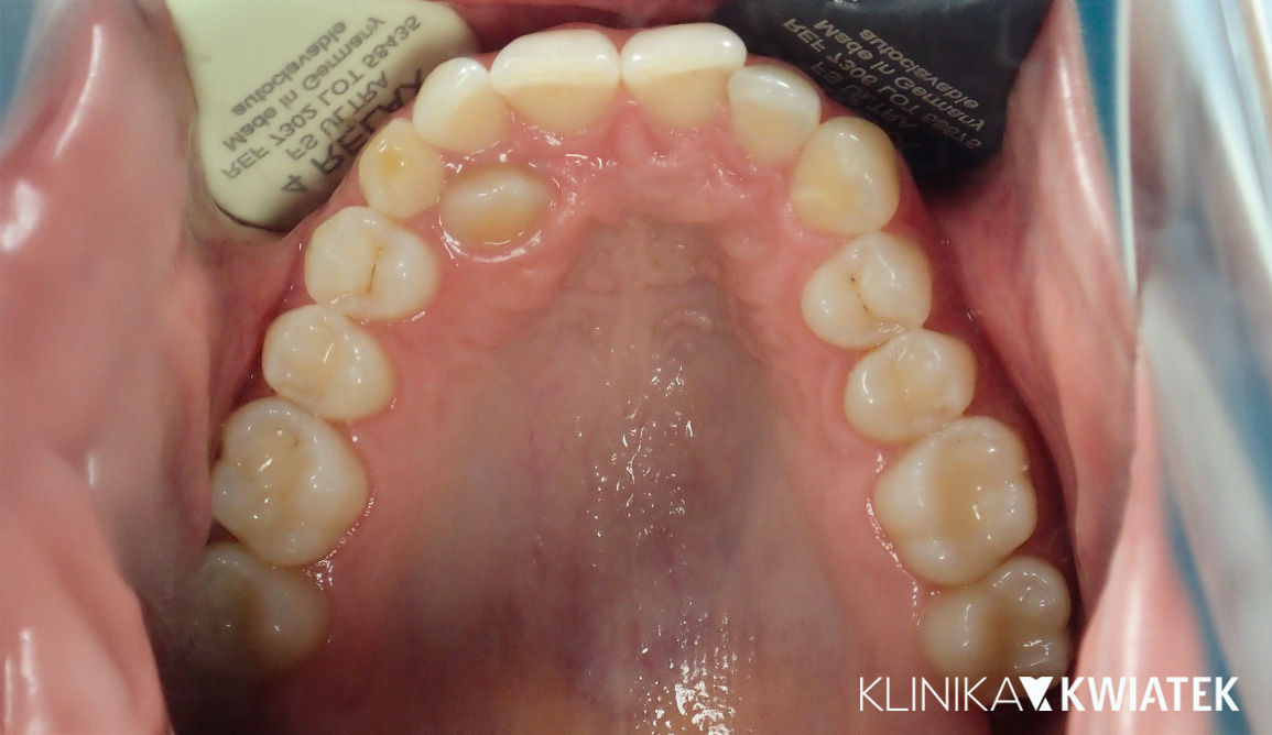
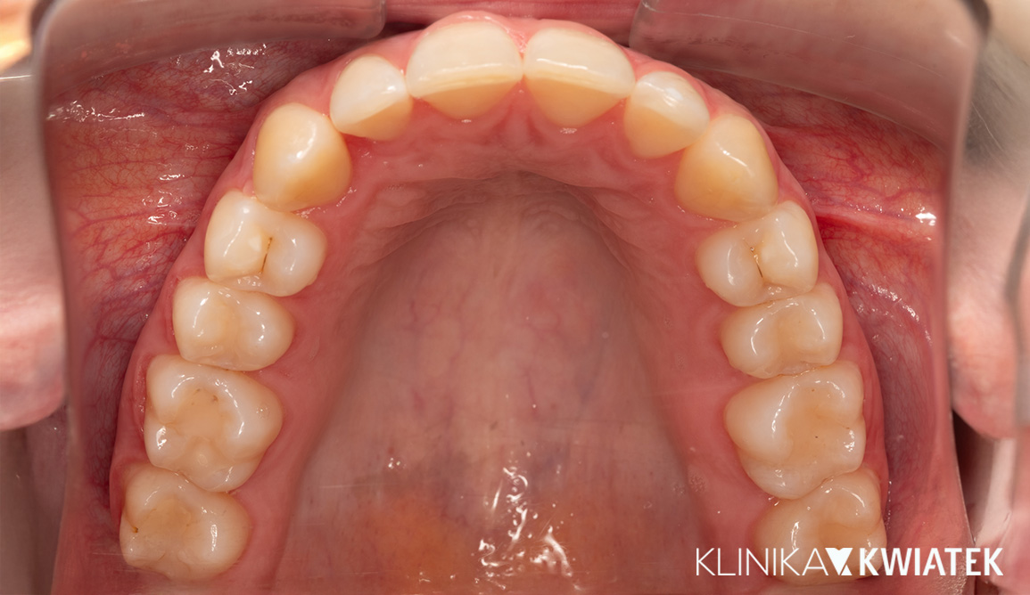
Zatrzymany kieł? Nowoczesna ortodoncja ma rozwiązanie!

27 letnia Pacjentka zgłosiła się do naszej kliniki z problemem wyrzynającego się nieprawidłowo kła górnego, przesuniętą linią pośrodkową i powiększonym nagryzem pionowym. Dzięki kompleksowej diagnostyce, leczeniu ortodontycznemu z zastosowaniem aparatów estetycznych i metalowych, wsparciu fizjoterapeutycznemu oraz regularnym higienizacjom udało się uzyskać prawidłową funkcję i estetykę uśmiechu. Efektem końcowym jest harmonijny zgryz, stabilne utrzymanie rezultatów dzięki retencji oraz piękny, zdrowy uśmiech.

PRZED
PO
PRZED
PO

Kompleksowa odbudowa jamy ustnej – droga Pacjentki do zdrowia i estetyki

Pacjentka zgłosiła się z rozległymi brakami w uzębieniu, zębami wymagającymi ekstrakcji oraz problemami z protezą szkieletową. Po diagnostyce radiologicznej i analizie modeli zaplanowano kompleksowe leczenie obejmujące implanty w szczęce i żuchwie, augmentację kości, korony tymczasowe i finalne prace pełnoceramiczne CAD/CAM. Dzięki wieloetapowemu leczeniu Pacjentka odzyskała zdrowie jamy ustnej, estetyczny uśmiech i komfort w codziennym funkcjonowaniu.

PRZED
PO
PRZED
PO

Implanty zamiast protezy –metamorfoza z wykorzystaniem technologii all-on-6

Pacjentka zgłosiła się do naszej kliniki z rozległymi problemami przyzębia i znaczną ruchomością zębów, które uniemożliwiały komfortowe jedzenie i swobodny uśmiech. Dodatkowym utrudnieniem była ruchoma proteza, ograniczająca codzienne funkcjonowanie. Po kompleksowej diagnostyce wdrożono plan leczenia implantoprotetycznego obejmujący ekstrakcje, augmentacje i odbudowę całych łuków zębowych. Finalnie wykonano prace przykręcane na implantach w szczęce i żuchwie, przywracając pełną estetykę uśmiechu oraz funkcję żucia.

PRZED
PO
PRZED
PO

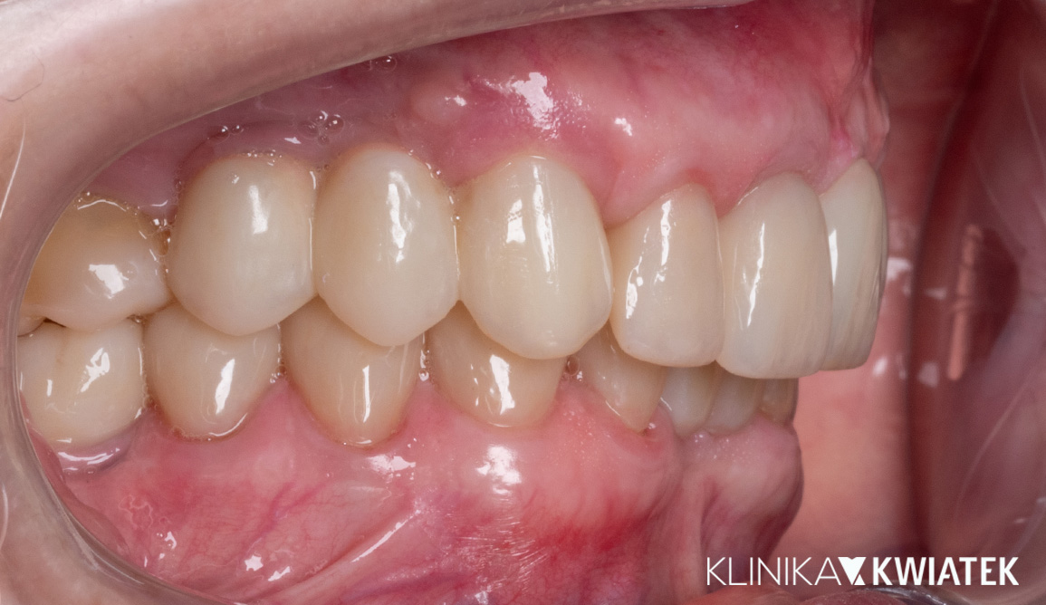
Od szparowatości do ideału – siła bondingu w estetyce

Pacjentka zgłosiła się z problemem bólu stawów skroniowo-żuchwowych, zgrzytania zębami oraz przerw między siekaczami. Po dokładnej diagnostyce wdrożono szynoterapię, leczenie ortodontyczne przezroczystymi nakładkami, a następnie odbudowy estetyczne i retencję. Efektem jest stabilny zgryz, komfort w codziennym funkcjonowaniu oraz harmonijny, naturalny uśmiech.

PRZED
PO

Nowy uśmiech dzięki implantowi w strefie zęba 46

Pacjent zgłosił się z brakiem zęba 46, co utrudniało funkcję żucia i wpływało na komfort codziennego życia. Po kompleksowej diagnostyce zaplanowano wszczepienie implantu MIS C1 i odbudowę koroną pełnoceramiczną. Finalny efekt to naturalny wygląd i pełna funkcjonalność zgryzu – Pacjent odzyskał komfort oraz estetykę uśmiechu.

PRZED
PO
PRZED
PO

Kompleksowa metamorfoza uśmiechu – od ortodoncji po protetykę i implantologię

 Pacjent zgłosił się do kliniki z problemem przetrwałych zębów mlecznych, diastemy i nierównego zgryzu, oczekując szybkiego, ale trwałego efektu estetycznego. Przeprowadzono wieloetapowe leczenie obejmujące higienizację, leczenie zachowawcze, terapię nakładkami ortodontycznymi, implantację oraz nowoczesną protetykę. Finalnym efektem jest harmonijny, biały i zdrowy uśmiech, dopasowany do rysów twarzy.

Do you have questions?
Would you like to schedule an appointment?
Call us