PRZED
PO

Precyzja i delikatność w leczeniu dziecięcego zęba

U młodych Pacjentów nawet niewielkie zmiany próchnicowe mogą w krótkim czasie prowadzić do poważnego uszkodzenia tkanek zęba. Dlatego w stomatologii dziecięcej kluczowe znaczenie ma wczesna diagnostyka oraz zastosowanie nowoczesnych, precyzyjnych metod leczenia, które pozwalają zatrzymać proces chorobowy i jednocześnie zachować jak największą ilość zdrowych tkanek.

Do kliniki zgłosiła się 10 letnia Pacjentka z głęboką próchnicą zęba trzonowego 36 obejmującą powierzchnię żującą oraz policzkową. Leczenie wymagało starannego, selektywnego opracowania ubytku oraz odbudowy korony zęba przy użyciu nowoczesnych materiałów kompozytowych.

Dzięki zastosowaniu pracy w powiększeniu oraz techniki stempla okluzyjnego możliwe było bardzo dokładne odtworzenie naturalnej anatomii zęba, a tym samym przywrócenie jego prawidłowej funkcji i estetyki.

PRZED
PO
PRZED
PO

Wieloetapowa rekonstrukcja uśmiechu w leczeniu interdyscyplinarnym

Pacjentka zgłosiła się do naszej kliniki z silnym bólem zębów przednich oraz zaawansowanym stanem zapalnym w obrębie kości szczęki. Diagnostyka wykazała torbiel zębopochodną wymagającą leczenia chirurgicznego oraz liczne problemy stomatologiczne obejmujące zarówno zęby, jak i zgryz. Dzięki kompleksowemu leczeniu obejmującemu chirurgię, implantologię, leczenie zachowawcze, protetykę i estetyczną rekonstrukcję udało się przywrócić Pacjentce zdrowie jamy ustnej, prawidłową funkcję zgryzu oraz naturalną estetykę uśmiechu.

PRZED
PO
PRZED
PO

Nowoczesna, wieloetapowa ortodoncja bez ekstrakcji u młodego Pacjenta wsparta mikroimplantami

Pacjent zgłosił się na konsultację ortodontyczną z powodu nieprawidłowego ustawienia kła górnego oraz braku miejsca w łuku zębowym. Diagnostyka wykazała m.in. zgryz krzyżowy zęba 12, wychylenie zęba 13 oraz deficyt przestrzeni w szczęce.

Leczenie obejmowało przygotowanie chirurgiczne, zastosowanie systemu Beneslider z miniimplantami ortodontycznymi oraz leczenie aparatem stałym. Dzięki wieloetapowej terapii uzyskano prawidłowe ustawienie zębów, harmonijny zgryz oraz spektakularną poprawę estetyki uśmiechu.

PRZED
PO
PRZED
PO

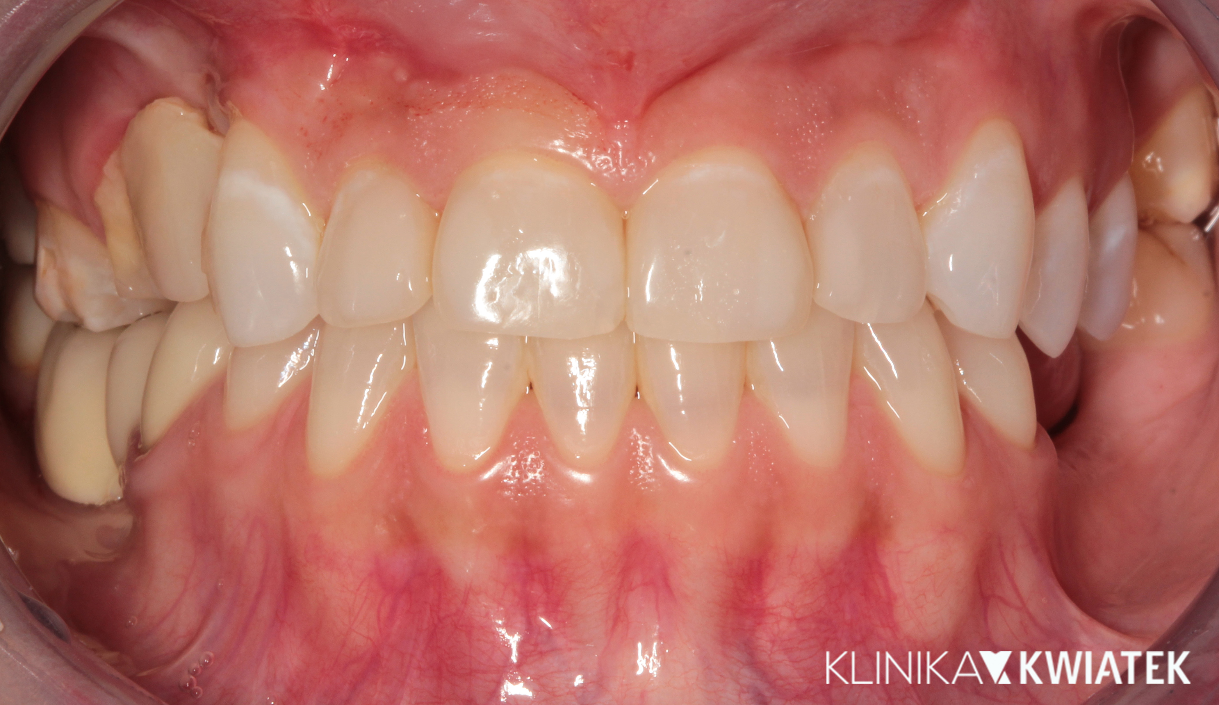
Od diagnostyki do estetyki - kompleksowa terapia stomatologiczna

Pacjentka zgłosiła się na pierwszą konsultację stomatologiczną z licznymi wypełnieniami wymagającymi wymiany oraz ogniskami próchnicy. Leczenie rozpoczęto od kompleksowej diagnostyki i higienizacji, następnie przeprowadzono leczenie zachowawcze, odbudowę protetyczną zęba oraz zabiegi chirurgiczne, przygotowujące do dalszej terapii. Całość została zwieńczona leczeniem ortodontycznym aparatem nakładkowym oraz wybielaniem zębów, dzięki czemu uzyskano zdrowy, harmonijny i naturalnie estetyczny uśmiech.

PRZED
PO
PRZED
PO

Kompleksowa odbudowa bezzębia na belkach tytanowych

Pacjent zgłosił się z zaawansowaną chorobą przyzębia, obejmującą wszystkie zęby, które na podstawie badania klinicznego i tomografii CBCT zostały zakwalifikowane do usunięcia Przeprowadzono kompleksowe leczenie: ekstrakcje a następnie implantację w pełnej nawigacji komputerowej oraz odbudowę na belkach tytanowych. Efektem jest stabilna, funkcjonalna i estetyczna rekonstrukcja obu łuków zębowych, która nie tylko przywraca komfort i pewność siebie, lecz staje się prawdziwym przełomem w jakości życia Pacjenta i trwałym fundamentem nowego uśmiechu oraz nowego początku.

PRZED
PO
PRZED
PO

Luksusowa rehabilitacja uśmiechu w standardzie Kwiatek Dental Clinic

Pacjent zgłosił się z zaawansowaną destrukcją uzębienia, utratą zębów oraz poważnymi zaburzeniami funkcji żucia i estetyki twarzy. Wieloetapowe leczenie objęło kompleksową rehabilitację całej jamy ustnej od chirurgii i implantologii przez leczenie zachowawcze i endodontyczne po zaawansowaną protetykę i periodontologię. Efektem jest stabilne fizjologiczne zwarcie, zdrowe tkanki oraz naturalny harmonijny uśmiech, który całkowicie odmienił komfort życia Pacjenta.

PRZED
PO
PRZED
PO

Projekt: komfort na lata czyli uśmiech gotowy na kolejne dekady

Pacjent zgłosił się z powodu ruszającego się mostu oraz bardzo starych koron wykonanych ponad 20 lat wcześniej, którym towarzyszyło znaczne obniżenie poziomu dziąseł i nieprawidłowe warunki zgryzowe. Leczenie obejmowało kompleksową diagnostykę, usunięcie przestarzałych prac, leczenie chirurgiczne, implantologiczne, endodontyczne oraz pełną rekonstrukcję protetyczną. Efektem jest stabilny, funkcjonalny i estetyczny uśmiech oparty na implantach oraz pełnoceramicznych koronach.

 

PRZED
PO
PRZED
PO

Gdy leczenie staje się sztuką: pełna rehabilitacja jamy ustnej

Do naszej kliniki zgłosił się Pacjent z wieloletnimi, narastającymi problemami stomatologicznymi, obejmującymi liczne ubytki próchnicowe, braki zębowe oraz zużyte, nieszczelne uzupełnienia protetyczne, które przestały spełniać swoją funkcję. Leczenie wymagało precyzyjnie zaplanowanej, wielomiesięcznej terapii obejmującej chirurgię, implantologię, endodoncję mikroskopową oraz rekonstrukcję protetyczną. Finalnie uzyskano stabilną funkcję, wysoką estetykę oraz fizjologiczne warunki pracy narządu żucia.

PRZED
PO
PRZED
PO

Luksus dyskretnej ortodoncji oparty na zaawansowanej technologii nakładkowej

Pacjentka zgłosiła się do kliniki z potrzebą kompleksowej poprawy zarówno funkcji zgryzu, jak i estetyki uśmiechu. W badaniu stwierdzono zgryz krzyżowy, stłoczenia zębów oraz liczne problemy wymagające leczenia zachowawczego i protetycznego, co wymagało wieloetapowego, interdyscyplinarnego podejścia. Terapię poprzedziło staranne przygotowanie jamy ustnej obejmujące ekstrakcję zębów mądrości, profesjonalną higienizację oraz odbudowę osłabionych struktur. Następnie wdrożono zaawansowane leczenie ortodontyczne z wykorzystaniem nowoczesnego systemu nakładkowego. Rezultatem jest harmonijny, stabilny zgryz, idealnie ukształtowane łuki zębowe oraz wyraźnie odmłodzony, jasny uśmiech, podkreślony profesjonalnym wybielaniem.

PRZED
PO
PRZED
PO

Architektura uśmiechu - pełna rekonstrukcja w standardzie premium

Nie każda metamorfoza zaczyna się od estetyki. Czasem zaczyna się od utraty wysokości zwarcia, napięcia mięśni i uśmiechu, który przestaje być naturalny.

Pacjent zgłosił się z nasilonym starciem zębów, zaciskaniem oraz odwróconą linią uśmiechu. Towarzyszyły temu rozległe ubytki  próchnicowe i zęby wymagające ponownego leczenia kanałowego. Zaprojektowaliśmy kompleksową, interdyscyplinarną rehabilitację jamy ustnej - od leczenia zachowawczego i chirurgii periodontologicznej, przez nawigowaną implantologię, po pełną odbudowę protetyczną.

Efekt to stabilne zwarcie, harmonijna linia dziąseł i naturalna, pełnoceramiczna estetyka. Nie korekta. Precyzyjna rekonstrukcja.

Do you have questions?
Would you like to schedule an appointment?
Call us