Education and academic degrees

07.2018 - 10.2020
Doctoral Studies, Doctor of Medical Sciences Pomeranian Medical University in Szczecin Doctoral dissertation title: "Assessment of the impact of serum 25-hydroxyvitamin D concentration on the osteointegration of dental implants"
10.2014 - 10.2016
Master of Science in Oral Implantology University of Studies, Siena
10.2022 - 07.2008
Dentistry, doctor - dentist Karol Marcinkowski Medical University in Poznan

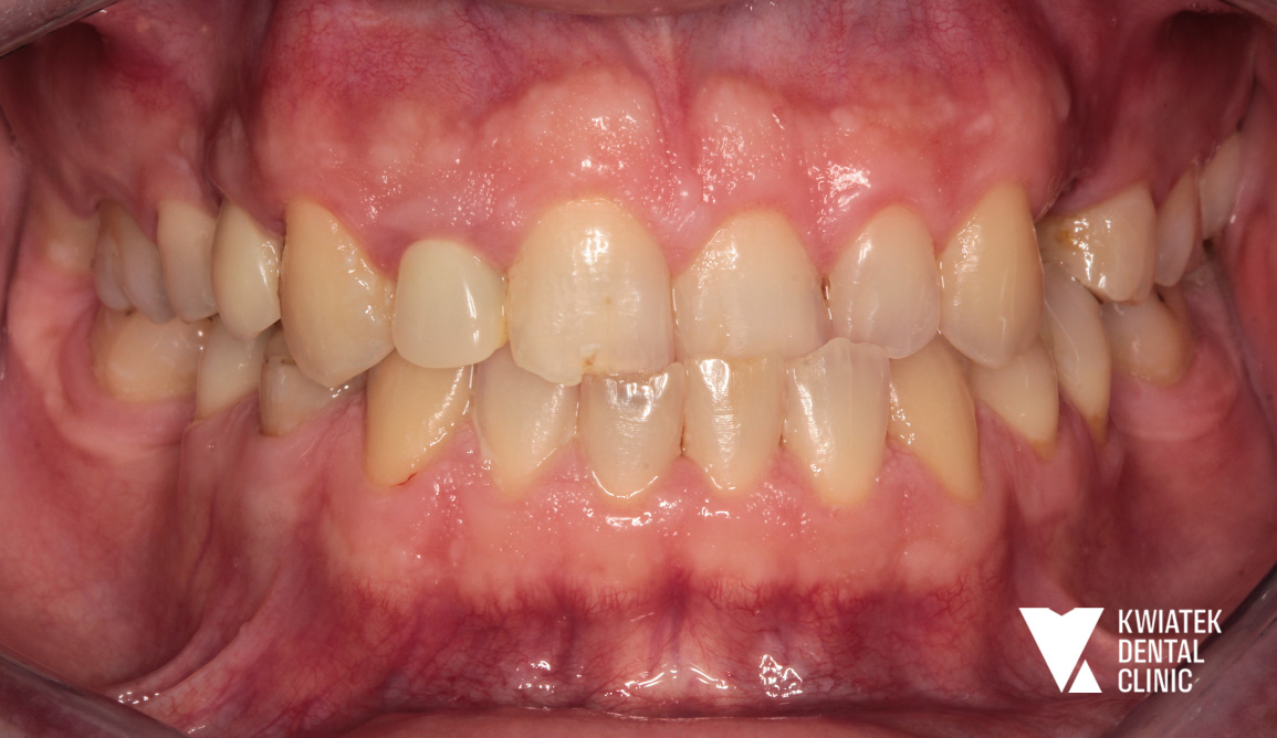
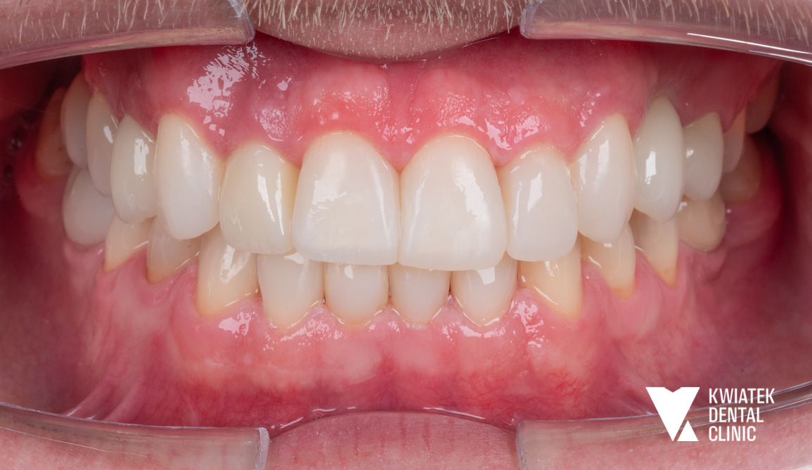
Wybrane metamorfozy

Nowość!
Zaufanie budowane latami tworzy historię uśmiechu Pana Rafała
Powrót komfortu żucia dzięki precyzyjnej odbudowie implantologicznej szóstek dolnych
Nowy uśmiech. Nowy rozdział - od planu do perfekcji.
Zaawansowana rekonstrukcja zgryzu z wykorzystaniem implantów i chirurgii regeneracyjnej

Scientific publications

"Implant-prosthetic treatment of post-traumatic tooth loss - case description."
Dentistry after graduation 05/2023
Use of digital technology in the rehabilitation of the stomatognathic system in one day.
Dental Implantology 2/2023
"Application of the double surgical template technique for the removal of a broken implant, immediate implantation, controlled bone and soft tissue regeneration, and simultaneous reconstruction with temporary Cerec CAD/CAM crowns under challenging clinical conditions"
Dental Implantology 01/22
"Congenital lack of permanent tooth buds as a challenge for modern implantology"
Dentistry After Graduation 01/2022
"The impact of the concentration of 25-hydroxycholecalciferol in the blood and treatment of vitamin D deficiency on changes in bone level at the implantation site."
Congress of the Polish Society of Oral and Maxillofacial Surgery, Lublin, 16 - 18.09.2021.
"Application of the Socket Shield technique in the case of late implantation."
Congress of the Polish Society of Oral and Maxillofacial Surgery, Lublin, 16-18.09.2021.
Impact of the 25-Hydroxycholecalciferol Concentration and Vitamin D Deficiency Treatment on Changes in the Bone Level at the Implant Site during the Process of Osseointegration: A Prospective, Randomized, Controlled Clinical Trial
Journal of Clinical Medicine 10(3)/2021
Periimplantitis therapy in the clinical practice of a dentist and dental hygienist
Dentistry Post-Diploma 06/2021
Preoperative Laboratory Diagnostics in the Practice of Dental Surgeon
Dental Implantology 01/2021
Application of the socket shield technique for post-extraction bone regeneration and maintenance of the shape and structure of the periodontium in the aesthetic zone in delayed implantation - a case study
Dental Implantology 06/2020
"Immediate implantation in the aesthetic zone using the socket shield technique - a case study."
Dental Magazine 6/2018

Conferences and scientific trips

04.11.2023
Multiforum Dentistry 2023 - innovative online project
October 8, 2022.
MIS Day Congress Warsaw
13 - 14.10.2022
Curriculum of Prof. Marcus Hürzeler Gdansk
May 30, 2022.
"Application of the Socket Shield technique along with immediate navigated implantation and reconstruction with a milled Maryland bridge in a patient practicing professional sports. 5-year observations."
May 20, 2022
MIS Forum 3 Poznan
09.2021.
International Congress Master of Oral Implantology MEET THE MASTER 6
10.2021.
Curriculum of Prof. Marcus Hürzeler Munich
09.2021.
Implacore: Zero Bone Loss Concepts with Prof. Tomas Linkevicius
06.2019
Advanced Implantology - training
03.2019.
Alpha Bio Poland Training
06.2017
International PSI Congress Krakow
06.2017
Europe & Latin America International Congress Madrid
01.2016.
ICX Magellan Training
03.2013.
Advanced Implant Surgery

Current reasearch being conducted

Opracowanie technologii i narzędzia do bezpiecznego i skutecznego pobierania próbek kostnych, nawiercania otworów w kości oraz pobierania materiału kostnego do badania histopatologicznego.
The level of fear and anxiety in patients attending dental hygiene appointments
Naturalne i nanostrukturalne komponenty w produktach stomatologicznych – od koncepcji do zastosowań klinicznych
Celowana terapia periimplantitis. Izolacja materiału genetycznego bakterii w poszukiwaniu źródła zakażeń okołowszczepowych.
Skuteczność stomatologicznego oprogramowania AI w diagnozowaniu próchnicy: porównanie z wynikami badań stomatologicznych wykonanych przez lekarzy.
Long-term observations of the effectiveness of maxillary sinus lift using hydrostatic pressure with immediate implantation.
Wrodzony brak zawiązków zębów stałych jako wyzwanie współczesnej implantologii
Comparison of treatment results using standard implantation, implantation with a healing screw, PMMA temporary crown, composite temporary crown.
Immediate Implantation using the "Socket Shield" technique - 3-year observations, PINK score at a 3-year interval
Wsparcie leczenia implantologicznego i chirurgicznego z wykorzystaniem autorskiej aplikacji Klinika Kwiatek (Treat UP).
Panto Monitoring - cyfrowe wsparcie radiologicznej diagnostyki stomatologicznej oraz Get Smile - inteligentne planowanie leczenia stomatologicznego
Ocena wpływu stężenia 25-hydroksywitaminy D w surowicy na osteointegrację implantów zębowych
Przedoperacyjna diagnostyka laboratoryjna w praktyce chirurga stomatologicznego
Monitoring selected parameters of blood morphology in dental patients - as a moment of early detection of systemic diseases enabling treatment in the initial stages of the disease.
Comparison of implant planning effectiveness versus the final position of the implant using a surgical template
Non-standard use of surgical templates - for resection, implant removal, sinus lifting
Bone reconstruction using PTFE membranes reinforced with a titanium mesh, attached directly to the implant
Periimplantitis - treatment according to KK standard - use of Airflow Prophylaxis Master, PRF membrane, change of connector to zirconia
Comparative study of the application of full arch reconstruction technique using 4 and 6 implants and permanent restoration - 1,2,3,4,5 year observations
Azytromycyna i inne substancje aktywne w nowoczesnej stomatologii zabiegowej – opracowanie systemu miejscowego uwalniania leku wspomagającego gojenie i prewencję infekcji po zabiegach chirurgicznych, periodontologicznych i implantologicznych

Teaching activities

06.2021 and 10.2021
MIS FORUM - Scientific Club Moderator of the expert panel
04.2021.
Didactic classes for students Department of Dental Surgery at the Pomeranian Medical University in Szczecin
12.2020
Specialization course for dentists specializing in the field of dental surgery "Implant treatment as a result of orthodontic complications"

Awards and honors

Consultant of the international Alpha Bio implantology system
- Consultant of the international Alpha Bio implantology system
Hippocrates of Greater Poland 1st place
- Hippocrates of Greater Poland 1st place

In the media

What awaits dentistry in 2021?

This is what our Patients say about us

Do you have questions?
Would you like to schedule an appointment?
Call us