Aparat ortodontyczny to podstawowe narzędzie stosowane w leczeniu ortodontycznym, którego zadaniem jest wywieranie kontrolowanego nacisku na zęby i kości szczęk Celem tego procesu jest stopniowe przemieszczenie zębów do prawidłowej pozycji oraz poprawa estetyki i funkcji żucia. Współczesna ortodoncja oferuje wiele rodzajów aparatów ortodontycznych. Co pozwala na dobór metody idealnie dopasowanej do indywidualnych potrzeb i wieku pacjenta.
Pacjenci często zastanawiają się, jaki aparat ortodontyczny wybrać. Czy postawić na aparat klasyczny metalowy, aparat samoligaturujący, czy może rozwiązania estetyczne? W przypadku leczenia ortodontycznego kluczowa jest konsultacja, ale warto znać dostępne opcje.
Poniżej przedstawiamy najważniejsze rodzaje aparatów na zęby wraz z ich charakterystyką.
Aparaty stałe mocowane są do powierzchni zębów na cały -okres aktywnego leczenia. Aparaty ortodontyczne stałe są skuteczne w korygowaniu wad zgryzu o różnym stopniu nasilenia.
Jest to najbardziej tradycyjny stały aparat ortodontyczny. Składa się z metalowych zamków przyklejonych do zębów, łuku ortodontycznego oraz ligatur elastycznych (gumeczek). Wymiana tych elementów aparatu to często ulubiona część wizyt młodszych pacjentów.

ZALETY:
WADY:
Aparat samoligaturujący (dostępny jako metalowy lub estetyczny) to nowoczesne rozwiązanie. Jego zamki posiadają specjalne klapki, które utrzymują łuk, eliminując konieczność stosowania ligatur elastycznych. Aparaty samoligaturujące generują mniejsze tarcie, co pozwala na przesuwanie zębów mniejszymi siłami.

ZALETY:
WADY:
Pod względem działania aparat estetyczny nie różni się od tradycyjnego aparatu stałego. Różnica tkwi w materiale. Aparaty estetyczne posiadają zamki wykonane z materiałów przezroczystych lub w kolorze zęba (np. zamki ceramiczne lub szafirowe).

ZALETY:
WADY:
Oprócz standardowych aparatów stałych, współczesna ortodoncja oferuje rozwiązania dopasowane do specyficznych potrzeb, w tym aparaty wyjmowane (“ruchome”) oraz systemy nakładkowe.
To nowoczesne aparaty ortodontyczne w formie przezroczystych nakładek (alignerów). Są to aparaty zdejmowane, które pacjent może samodzielnie ściągnąć do posiłków i higieny. Dzięki precyzyjnemu projektowi, nakładki ortodontyczne wywierają odpowiedni nacisk na zęby, stopniowo przesuwając je do pożądanej pozycji.

ZALETY:
WADY:
Aparaty lingwalne Dla pacjentów oczekujących pełnej dyskrecji, rozwiązaniem mogą być aparaty lingwalne. Choć są one niewidoczne dzięki zamkom przyklejanym od strony języka, należy pamiętać, że taka lokalizacja często wiąże się z podrażnieniami oraz dłuższym procesem adaptacji do obecności ciała obcego w jamie ustnej, a także bardzo dużym problemem z utrzymaniem prawidłowej higieny jamy ustnej. Aparaty te wypierane są aktualnie przez inne systemy ortodontyczne.

ZALETY:
WADY:
Aparaty ruchome to takie, które pacjent wkłada i wyjmuje z ust samodzielnie. Są to często aparaty czynnościowe, wykorzystywane głównie w przypadku dzieci i młodzieży w okresie wzrostu do sterowania rozwojem kości szczęk. U dorosłych stosowane są rzadziej, głównie do drobnych korekt lub jako aparaty retencyjne.

Zastosowanie: Leczenie wad w okresie uzębienia mieszanego (gdy są jeszcze zęby mleczne i wyrzynają się zęby stałe).
Skuteczność: Zależy całkowicie od współpracy pacjenta i czasu noszenia.
Leczenie ortodontyczne to proces złożony. Wybór aparatu ortodontycznego zależy od diagnozy oraz szeregu innych czynników, ale sukces terapii zależy w bardzo dużym stopniu od współpracy pacjenta.
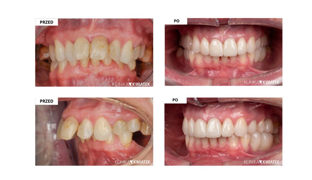
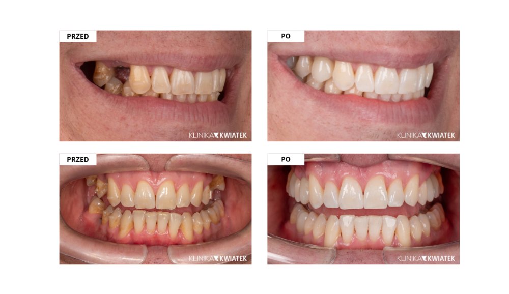
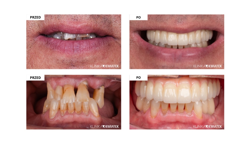
Poniższe metamorfozy pokazują, jak duży wpływ może mieć odpowiednio zaplanowane leczenie, nie tylko na wygląd zębów, ale również na pewność siebie i komfort życia pacjentów.
*Publikacja zdjęć „przed i po” nastąpiła za zgodą pacjentów i ma na celu przedstawienie możliwości oferowanych usług.
Niezależnie od typu, zasada jest podobna. Aparat wywiera łagodny, ciągły nacisk na zęby. Powoduje to przebudowę kości w obrębie jamy ustnej, co pozwala na przesuwanie zębów do pożądanej pozycji.
Wybór odpowiedniego rodzaju zależy od kilku czynników: stopnia zaawansowania wady zgryzu, wieku pacjenta, oczekiwań estetycznych oraz możliwości finansowych. W przypadku skomplikowanych wad (np. obejmujących zęby trzonowe), aparaty metalowe mogą być lepsze niż nakładki. Ostatecznie najlepsze rozwiązanie wskaże lekarz.
Tak, wymaga większej uwagi. Resztki jedzenia łatwo gromadzą się wokół zamków. Aby utrzymać prawidłową higienę, należy używać specjalnych szczoteczek i nici. Zaniedbania mogą prowadzić do próchnicy, dlatego higiena jamy ustnej jest priorytetem dla każdego pacjenta.
Zazwyczaj aparaty ortodontyczne dzielą się na stałe dla dorosłych i ruchome dla dzieci. U dorosłych aparaty ruchome stosuje się rzadko do leczenia wad, częściej jako retencję. Alternatywą dla dorosłych szukających rozwiązań zdejmowanych są nakładki typu Invisalign.
Przy samym założeniu aparatu ból nie występuje. Dyskomfort i uczucie napięcia mogą pojawić się kilka godzin po wizycie i utrzymywać przez kilka dni. To znak, że zęby zaczynają się przemieszczać.